AJR
@ajrradiology.bsky.social
1.6K followers 25 following 880 posts
The world’s longest continuously published general radiology journal.
Posts Media Videos Starter Packs
ajrradiology.bsky.social
Microvascular imaging provides next-level detail for tough calls like torsion or subtle plaques. See the proof in this clip from Michelle Robbin, MD's talk, part of the AJR Forum on Quantitative Ultrasound.

www.ajronline.org/doi/10.2214/...
ajrradiology.bsky.social
Check out AJR This Month for news, announcements, and featured multimedia content:

ajronline.org/ajrthismonth
ajrradiology.bsky.social
The latest issue of AJR is live, including featured articles on:

✅Resting-State Functional MRI
✅ MRI in Prostate Cancer
✅ AI for Worklist Triaging in Neuroradiologic Emergencies

ajronline.org/toc/ajr/225/3
ajrradiology.bsky.social
This expert panel review details lung MRI's current indications and capabilities, from nodule characterization to dynamic airway assessment. It offers practical protocols using available sequences to expand clinical adoption.

www.ajronline.org/doi/10.2214/...
ajrradiology.bsky.social
The complete discussion can be found on AJR.

Bone Scintigraphy in the Era of PSMA PET: Point—Still a Valuable Tool and Not Yet Dead www.ajronline.org/doi/10.2214/...

Bone Scintigraphy in the Era of PSMA PET: Counterpoint—The Page Has Turned www.ajronline.org/doi/10.2214/...
ajrradiology.bsky.social
PSMA PET can directly visualize PSMA expressing cancer cells, enabling earlier and more accurate detection of metastases. They also note bone scintigraphy’s lack of specificity can lead to false positive findings and an inability to detect nodal or visceral disease.
ajrradiology.bsky.social
𝐓𝐡𝐞 𝐀𝐫𝐠𝐮𝐦𝐞𝐧𝐭 𝐟𝐨𝐫 𝐓𝐫𝐚𝐧𝐬𝐢𝐭𝐢𝐨𝐧𝐢𝐧𝐠 𝐭𝐨 𝐏𝐒𝐌𝐀 𝐏𝐄𝐓

Conversely, Drs. Levy and Hofman argue that bone scintigraphy is becoming obsolete due to the superior diagnostic performance of PSMA PET.
ajrradiology.bsky.social
They say it serves as an essential predictive biomarker for selecting patients for 223Radichloride therapy, which requires evidence of osteoblastic disease. Bone scintigraphy is also less expensive and more widely available than PSMA PET, particularly in under-resourced areas.
ajrradiology.bsky.social
𝐓𝐡𝐞 𝐀𝐫𝐠𝐮𝐦𝐞𝐧𝐭 𝐟𝐨𝐫 𝐭𝐡𝐞 𝐂𝐨𝐧𝐭𝐢𝐧𝐮𝐞𝐝 𝐔𝐭𝐢𝐥𝐢𝐭𝐲 𝐨𝐟 𝐁𝐨𝐧𝐞 𝐒𝐜𝐢𝐧𝐭𝐢𝐠𝐫𝐚𝐩𝐡𝐲

Drs. Holzgreve and Sartor contend bone scintigraphy retains a valuable and necessary role.
ajrradiology.bsky.social
The introduction of PSMA PET has fundamentally altered the imaging landscape for prostate cancer, prompting a critical debate over the current and future utility of conventional bone scintigraphy. A new point/counterpoint from AJR explores this topic.
ajrradiology.bsky.social
A novel clavicle fracture dating atlas significantly improved radiologists' performance and agreement in dating not only clavicle fractures but also humeral and femoral fractures in infants, offering a valuable tool in suspected child abuse cases.

www.ajronline.org/doi/10.2214/...
ajrradiology.bsky.social
In patients after STEMI, the persistence of microvascular obstruction between early and late gadolinium-enhanced cardiac MRI is a powerful independent predictor of adverse cardiovascular events, offering prognostic information beyond static measures.

www.ajronline.org/doi/10.2214/...
ajrradiology.bsky.social
Although only a small fraction of false-positive examinations overlapped between AI and radiologists, concordant flagged findings had a high rate of representing high-risk lesions.

www.ajronline.org/doi/10.2214/...
ajrradiology.bsky.social
This review highlights key modifications in the 9th version of the AJCC staging system that are relevant to radiologists, providing imaging examples and considering implications for clinical practice, prognosis, and treatment planning.
www.ajronline.org/doi/10.2214/...
American Roentgen Ray Society
www.ajronline.org
ajrradiology.bsky.social
Does misty mesentery on noncontrast CT require follow-up or additional imaging? Authors from Canada, Korea, the US, and France share their approaches.
www.ajronline.org/doi/10.2214/...
American Roentgen Ray Society
www.ajronline.org
ajrradiology.bsky.social
🦁 Roaring into the top 5! This week’s most-read AJR articles are the mane event.
ajrradiology.bsky.social
Building a long, fulfilling career in radiology starts with managing the stress of right now.

Desiree Morgan, MD shares with Surbhi Raichandani, MD on how to thrive in the latest episode of From Training to Practice, an AJR Podcast Series:

www.ajronline.org/doi/10.2214/...
ajrradiology.bsky.social
This nationwide analysis investigates which specific radiologist and practice characteristics are most closely linked to the growing rate of workforce attrition.

www.ajronline.org/doi/10.2214/...
ajrradiology.bsky.social
This review highlights neurotoxic complications of cancer therapies and details how advanced imaging can guide clinical decision-making and improve patient care.

www.ajronline.org/doi/10.2214/...
ajrradiology.bsky.social
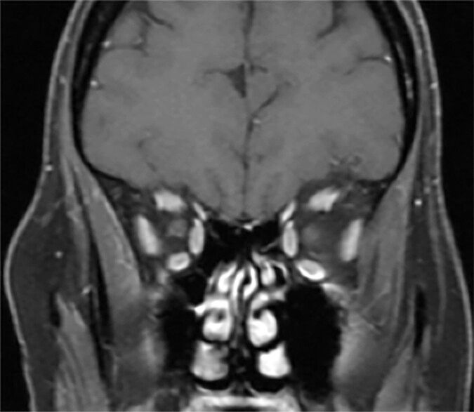
This study finds that the high-relaxivity agent gadopiclenol, at half the standard dose, provides contrast enhancement comparable to standard-dose gadoterate meglumine for brain MRI, facilitating gadolinium dose reduction in children.

www.ajronline.org/doi/10.2214/...