CJKHD
@cjkhd.bsky.social
1.2K followers 1.1K following 91 posts
CJKHD, the official journal of CSN. We publish fundamental science and clinical science in the field of kidney health. Based in Canada|Turtle Island, we recognize our reparative responsibility to uplift the knowledges and expertise of Indigenous peoples.
Posts Media Videos Starter Packs
Pinned
The Canadian Journal of Kidney Health and Disease (CJKHD) is a peer-reviewed, open access, pubmed-indexed journal and is the official journal of the Canadian Society of Nephrology. We welcome fundamental science and clinical science submissions in the field of kidney health...

1/3
The impact of #chronickidneydisease -associated pruritus on quality of life, gaps in care, and the importance of systematic symptom screening. #dialysis @queensuresearch.bsky.social @csnscn.bsky.social

doi.org/10.1177/2054...
This figure shows the therapies used by individuals classified as having moderate-to-severe CKD-aP. Of those with moderate-to-severe CKD-aP, 29% were using over-the-counter medications, 1% were using cannabinoids, 9% were taking prescribed Gabapentin or Pregabalin, and 18% were using a combination of these therapies (of these patients 1 was prescribed antihistamines in addition to other treatments). 42% were using no treatments.
Calcium isn’t just about bones. In dialysis patients, high serum calcium with low #vitaminD meant weaker muscles; supplements helped. Time to rethink calcium’s neuromuscular role. #CalciumMetabolism #Nephrology #Sarcopenia @cjkhd.bsky.social @csnscn.bsky.social

doi.org/10.1177/2054...
Figure 4. Mean serum 25(OH)D levels from supplement vs non-supplement groups.
A #clinicalresearch protocol looks at the prevalence of cognitive impairment in patients undergoing hemodialysis using #VirtualReality cognitive testing
@umanitobasci.bsky.social @dalhousieu.bsky.social @csnscn.bsky.social

doi.org/10.1177/2054...
Figure 2. Montreal cognitive assessment (MoCA).
The KRESCENT 2.0 Health Research Training Platform grant process represents a pan-Canadian effort to fund the next generation of kidney scientists through the KRESCENT platform. #kidneydisease #kidneydiseaseawareness #kidneyhealth @csnscn.bsky.social @cjkhd.bsky.social

doi.org/10.1177/2054...
Figure 1. The KRESCENT mentorship team spans across jurisdictions, sectors, and disciplines.
1. Todd Alexander (NPA). KRESCENT Program Director. 2. Adeera Levin (PA), KRESCENT leadership since inception. 3. Sunny Hartwig (PA), KRESCENT Curriculum Chair and KRESCENT alumna. 4. Julie Ho (PA), KRESCENT alumna. 5. Leanne Stalker (PA), Scientific Director of KFoC. 6. Janine Farragher (PA), ECR and KRESCENT alumna. 7. Mary Beaucage (PA), Patient Council member. 8. Kara Schick-Makaroff (PA), KRESCENT alumna. 9. Malcolm King (PA) Indigenous Scholar and former head of the CIHR Institute of Aboriginal Health. 10. Sanjay Pandeya (PA), President of the CSN. 11. Karthik Tennankore (PA). 12. Ana Konvalinka (PA), KRESCENT alumna. 13. Kevin Burns (PA), KRESCENT Founder and former Director. 14. François Madore (PA). 15. Nina Jones (Co-App), KRESCENT alumna. 16. Robert Quinn (Co-App). 17. Lisa Robinson (Co-App) EDI Champion. 18. Morteza Ahmadi (Co-App), KRESCENT alumni entrepreneur. 19. Mitch Abrams (Co-App).
KRESCENT; 2005 -2025 – 20 years! Editorial

#CureKidneyDisease #KRESCENT #Mentoring

@csnscn.bsky.social @cjkhd.bsky.social @ualberta.bsky.social
@ubcmedicine.bsky.social

doi.org/10.1177/2054...
A comparative summary of KRESCENT training offerings - from beginning to present (KRESCENT 1.0 to 2.0)
Cox-regression analysis of kidney-related outcomes after prescription of anti-hyperglycemic medications.
#diabetes #kidneydisease #protection @csnscn.bsky.social @cjkhd.bsky.social @ualberta.bsky.social

doi.org/10.1177/2054...
Table 1. Cox-Regression Analysis of Kidney-Related Outcomes After Prescription of Anti-Hyperglycemic Medications.
Our survey highlights several simple and pragmatic approaches that kidney care facilities across the country may consider implementing to decrease the environmental burden attributed to #kidneycare. #KidneyResearch
@csnscn.bsky.social @cjkhd.bsky.social

doi.org/10.1177/2054...
Figure 1. Incorporation of lighting, heating and cooling, energy savings, office equipment, office consumables, water savings, and waste management strategies into participants’ kidney care services.
BC’s Hemodialysis Emergency Support Team is a first-of-its-kind model ensuring #dialysis care continues during crises like wildfires & floods. A blueprint for resilience in renal care. #KidneyHealth #EmergencyPreparedness #CJKHD @csnscn.bsky.social @cjkhd.bsky.social

doi.org/10.1177/2054...
Figure 1. This risk matrix highlights the outcomes of assessing 15 climate-related scenarios that could impact British Columbia. For more details on each scenario, refer to the Ministry of Environment and Climate Change Strategy’s summary
Dialysate and oral bicarbonate are used to treat #metabolicacidosis in patients receiving #dialysis. Limited evidence for the effect of different bicarbonate treatment strategies on patient outcomes exists. #RCTs are needed. @cjkhd.bsky.social @csnscn.bsky.social

doi.org/10.1177/2054...
Figure 3. Forest plot of comparison: >35 mmol/L versus ≤35 mmol/L dialysate bicarbonate, outcome: pre-dialysis serum bicarbonate at end of study.
Lung congestion as assessed by point-of-care ultrasonography was associated with worsening #renalfunction in acute heart failure patients - yet other ultrasound measurements were not. #POCUS
@csnscn.bsky.social @cjkhd.bsky.social @mcgilluniversity.bsky.social

doi.org/10.1177/2054...
Figure 1. Representative image of each organ examined by ultrasound before and after decongestion.
Can pre-op interventions reduce post-parathyroidectomy hypocalcemia in #CKD patients? Our systematic review finds limited but promising evidence. More trials needed! #MedTwitter #NephPearls
@csnscn.bsky.social @cjkhd.bsky.social @ucalgary.bsky.social

doi.org/10.1177/2054...
Figure 1. PRISMA figure.
What makes diabetes self-management harder—or easier—for patients on dialysis? From food restrictions to health literacy, the challenges are real.

Let’s talk about what helps and what hinders. #Nephrology #Diabetes #PatientCare #HealthEquity @ucalgary.bsky.social

doi.org/10.1177/2054...
This image illustrates the complexity of barriers and facilitators impacting diabetes self-management in dialysis patients—highlighting how individual, social, and system-level factors are deeply interconnected.
There is limited research on impacts for #kidneycare during the COVID-19 pandemic. We used focus groups with #kidneycareproviders about the health and psychosocial impacts of the pandemic, and gathered recommendations for care. @ualberta.bsky.social @ucalgary.bsky.social

doi.org/10.1177/2054...
Sage Journals: Discover world-class research
Subscription and open access journals from Sage, the world's leading independent academic publisher.
doi.org
In a study of 101,688 adults with advanced #CKD in Ontario, all-cause mortality rose 8% during the first 21 months of COVID-19. Non-COVID deaths stayed stable. Hospitalizations and ER visits declined, but nephrology care and AKI rates remained [email protected]

doi.org/10.1177/2054...
Figure 1. Observed vs expected monthly all-cause mortality rates for adults with advanced CKD prior (March 15, 2017 to February 15, 2020) and during the COVID-19 pandemic (March 15, 2020 to November 15, 2021). Vertical solid line indicates the onset of the COVID-19 pandemic. Table displays observed vs expected rates. Bold font indicates statistical significance at α = 0.05 level.
A primer on #lifecycleassessment (LCA) is presented, designed to introduce clinicians to LCA methodology, and to understand how a broad range of environmental impacts are reported. A case example of different #hemodialysis modalities is provided. @csnscn.bsky.social

doi.org/10.1177/2054...
LCA provides detailed environmental impact assessments of individual products or processes, and enables comparisons between functionally equivalent alternatives. LCA is conducted in four stages (Figure 1). LCA design has similarities to clinical outcomes research: the goal is determined (akin to primary and secondary outcomes), the scope or ‘boundary’ is precisely defined (similar to inclusion/exclusion criteria), data are collected, results analysed, and findings interpreted.
BCRenal team highlights key enablers to advance care planning in chronic kidney disease from renal care provider perspective. #PalliativeCare #Nephrology #AdvanceCarePlanning #QualityImprovement
@csnscn.bsky.social @cjkhd.bsky.social

doi.org/10.1177/2054...
The authors have adapted the Consolidated Framework for Implementation Research domains to analyze provider perceptions of barriers and enablers in integrating advance care planning in kidney care.
New update from the CSN! We’ve refined how we adapt international guidelines for Canadian practice. Practical, patient-centered, and made for Canada. #nephrology #guidelines
@cjkhd.bsky.social @csnscn.bsky.social

doi.org/10.1177/2054...
A flow diagram illustrating the Canadian Society of Nephrology (CSN) process for developing commentaries. It begins with identifying relevant international guidelines, followed by forming a multidisciplinary working group including clinical experts, allied health professionals, and patient partners. Next, working group members review assigned chapters and complete a pre-meeting survey to assess which recommendations or practice points require discussion. Items flagged for evidence review or Canadian-specific implications are discussed at working group meetings. Based on these discussions, chapters are drafted using a standardized template. The draft is then reviewed by external peer reviewers. After revisions, the final commentary is submitted for publication and disseminated through various platforms including the CSN website, journals, and national networks.
In patients receiving #maintenancedialysis, there is substantial variability across the 4 steps required to receive a #kidneytransplant with the rate of referral varying almost 8-fold across Ontario’s Regional Renal Programs
@lhsccanada.bsky.social @csnscn.bsky.social

doi.org/10.1177/2054...
Figure 5 demonstrates the average number of steps completed toward receiving a kidney transplant which varied from 11.7 (95% CI: 9.3, 14.8) to 44.0 (95% CI: 38.6, 50.1) steps per 100 patient-years across RRPs.
#Hemodialysis in patients with #hyperammonemia can mask underlying causes. A case of recurrent hyperammonemia revealed a portosystemic shunt as the culprit. Consider anatomical shunts in the differential of hyperammonia.
@csnscn.bsky.social @ucalgarymed.bsky.social

doi.org/10.1177/2054...
Figure 1. Differential diagnosis of hyperammonemia, organized by mechanisms of increased ammonia production and decreased ammonia clearance
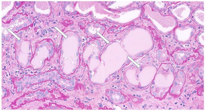
A patient presented with severe #AKI and no other symptoms. A #biopsy revealed cast #nephropathy. Bone marrow biopsy ultimately led to a diagnosis of Extranodal Marginal Zone Lymphoma
@csnscn.bsky.social @cjkhd.bsky.social

doi.org/10.1177/2054...
Figure 1. Renal histology. Sharp-edged PAS-negative casts (arrows) in tubular lumen (periodic acid-Schiff stain, original magnification ×400).
Design of the international #ACHIEVE trial comparing spironolactone to placebo in over 2500 people receiving #dialysis for #kidneyfailure.
@csnscn.bsky.social @cjkhd.bsky.social

doi.org/10.1177/2054...
Figure 1. ACHIEVE study flowchart.
Emerging targets for action to promote inclusion and equity for sexual and gender #minorities in #transplantation systems. #equity #inclusion

doi.org/10.1177/2054...

@csnscn.bsky.social @cjkhd.bsky.social @UM_RadyFHS
A figure representing emerging targets for action to promote inclusion and equity for sexual and gender minorities in transplantation systems.
Routinely measuring blood C-reactive protein levels in the first year after a #kidneytransplant will help identify UTIs sooner, allowing for the initiation of earlier therapy, reducing patient morbidity.
@unityhealthto.bsky.social @csnscn.bsky.social @cjkhd.bsky.social

doi.org/10.1177/2054...
Figure 1. Selection process for the nested case-control study.
At What #eGFR Should We Start #Dialysis? An Interactive Quality Improvement Teaching Case for Healthcare Providers #AskRenal #NephSky
@csnscn.bsky.social @cjkhd.bsky.social @ottawahospital.on.ca

doi.org/10.1177/2054...
Figure 9. Example of a run chart identifying change in practice over time. Outliers, or astronomical data points are highlighted. A run chart can be interpreted by counting the number of times the line connecting the data points crosses the median which indicates change in practice over time.