@parasitegal.bsky.social
41 followers 16 following 22 posts
Posts Media Videos Starter Packs
parasitegal.bsky.social
#Parasite case 786 is up, donated by Dr. Richard Bradbury: found in stool in an HIV positive pt. living in Tanzania. Object measures 25-30 µm.
parasitewonders.blogspot.com/2025/09/case... ID?
Answer later this week! #mayopath #pathology #PathBugs
parasitegal.bsky.social
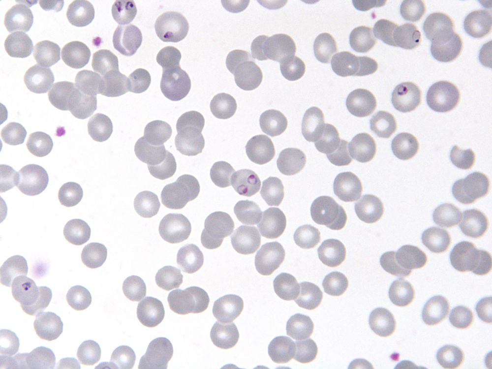
The #Parasite case 779 is now up, donated by Dr. Richard Bradbury: These are the blood films and urine from a febrile patient in The Gambia recently treated with quinine. What is this condition and its cause? parasitewonders.blogspot.com/2025/06/case...

I will post the answer later this week!
parasitegal.bsky.social
The answer to the #Parasite Case 778 is now up: Invasive Entamoeba histolytica trophozoites with ingested RBCs. Read a further description here of how to identify this entity: parasitewonders.blogspot.com/2025/06/answ...
Answer to Case 778
A parasite case of the week blog, specializing in human parasites.
parasitewonders.blogspot.com
parasitegal.bsky.social
The #Parasite case 778 is now up: parasitewonders.blogspot.com/2025/06/case... - colon biopsy from a patient with abdominal pain and diarrhea. Objects seen are 20 microns. What is your diagnosis? Answer later this week!
parasitegal.bsky.social
We are celebrating our #Parasite case 777! You win the parasite jackpot if you can identify all 3 eggs. Take the challenge here: parasitewonders.blogspot.com/2025/05/case...
Answer later this week!
Case of the Week 777
A parasite case of the week blog, specializing in human parasites.
parasitewonders.blogspot.com
parasitegal.bsky.social
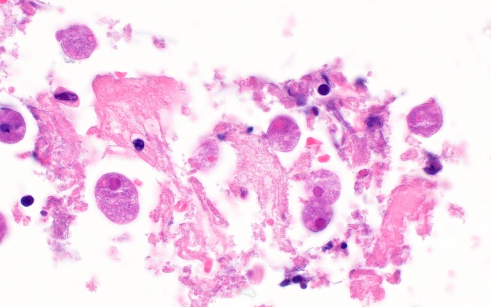
The #Parasite case 776 is now up: brain biopsy from a man with untreated HIV. Specimen appeared necrotic and bloody. Show are Giemsa-stained touch preps. ID? Answer later this week!
parasitegal.bsky.social
The answer to the #Parasite Case 775 is now up: Not a human parasite (cat hair). Check out the accompanying blog post to learn more! (and see a picture of my cat) parasitewonders.blogspot.com/2025/05/answ...
Answer to Case 775
A parasite case of the week blog, specializing in human parasites.
parasitewonders.blogspot.com
parasitegal.bsky.social
This week's case was inspired by Dr. Eric Rosenbaum. Several objects were submitted for parasite identification, including tan-white hair-like structures measuring 30 mm long by <0.2 mm wide. Here is their appearance by light microscopy. How would you sign this case out?
parasitegal.bsky.social
The #Parasite case 773 is now up, donated by Dr. Rasool Jafari. These objects were grown in TYI-S-33 medium. parasitewonders.blogspot.com/2025/04/case... (check out the video here!) What is seen here? Ans. later this week!
Case of the Week 773
A parasite case of the week blog, specializing in human parasites.
parasitewonders.blogspot.com
parasitegal.bsky.social
The answer to the #Parasite Case 771 is now up: Rodentolepis (formerly Hymenolepis) nana adult with immature eggs: parasitewonders.blogspot.com/2025/02/answ... Thanks again to Dr. Emily Snaverly for donating this great case! #mayopath #pathology #PathBugs
Answer to Case 771
A parasite case of the week blog, specializing in human parasites.
parasitewonders.blogspot.com
parasitegal.bsky.social
The #Parasite case 771 is now up, donated by Dr. Emily Snaverly: ~1cm long object found on screening colonoscopy. Identification? Answer later this week.
parasitegal.bsky.social
The answer to the #Parasite Case 768 is now up: Non-parasitic psocid (booklouse/barklouse). Read the more about this big-nosed insect here: parasitewonders.blogspot.com/2025/01/answ...
Answer to Case 768
A parasite case of the week blog, specializing in human parasites.
parasitewonders.blogspot.com
parasitegal.bsky.social
The #Parasite case 767 is now up: Objects found on anal Pap smear, measuring ~55 µm long. parasitewonders.blogspot.com/2025/01/case... Answer later this week.
parasitegal.bsky.social
The answer to the #Parasite Case 766 is now up: Schisotosoma haematobium eggs. Read the excellent description by guest author, Dr. Azra Hasan, here: parasitewonders.blogspot.com/2025/01/answ... #mayopath #pathology #PathBugs
Answer to Case 766
A parasite case of the week blog, specializing in human parasites.
parasitewonders.blogspot.com
parasitegal.bsky.social
The #Parasite case 766 is now up: a straight-forward case for a change 😊. These objects were found in urine and measure ~150 µm long. What is your ID? Answer later this week.
#mayopath #pathology #PathBugs
parasitegal.bsky.social
Last #Parasite case for 2024! Tissue from peritoneal cavity in a pt. with volvulus and pulse granulomas. parasitewonders.blogspot.com/2024/12/para... What are the objects seen here? Answer later this week.
parasitegal.bsky.social
Happy holidays! Here is my favorite couple under the mistletoe. Can you tell who they are?
parasitegal.bsky.social
I’m not aware of any references either
parasitegal.bsky.social
Here is the #Parasite case of the week: an incidental finding on routine screening colonoscopy. What is your diagnosis? Answer later this week!
parasitegal.bsky.social
Pneumocystis used to be considered a parasite! It’s now know to be a fungus 😌👍🍄