Penninger Lab
@penningerlab.bsky.social
470 followers 340 following 7 posts
We take a holistic approach to understand health & disease and research cancer, immunity, nervous system, heart, blood vessels, bone and glycoproteomics. We are located in Vienna, Braunschweig and Vancouver.
Posts Media Videos Starter Packs
Reposted by Penninger Lab
imbavienna.bsky.social
🎉 Congratulations to Max Kellner, former PhD student in the Penninger Lab, who was presented with the ÖGBMT Life Sciences PhD Award Austria. The award recognizes Kellner’s PhD research on how dangerous viruses emerge from natural reservoirs like bats. More: https://imba.science/3KiRYSN
penningerlab.bsky.social
An organoid platform to study bats' resilience to viral infections - spearheaded by Max and supported by a great team & collaborators: www.nature.com/articles/s41...
penningerlab.bsky.social
🎓🧫🔬 Join our lab at Medical University of Vienna as a PhD student investigating glycobiology and cancer research! Details below 👇
smereiter.bsky.social
🚨 PhD position open! 🚨
Join our team at the Medical University of Vienna to study glycan regulation in mammary organoids, milk, and breast cancer.
Details in the image – please share! 🧬✨
Reposted by Penninger Lab
helmholtzhzi.bsky.social
🦇 Fledertiere können verschiedene hochgefährliche Viren in sich tragen, ohne sichtbar zu erkranken. @mjkellner.bsky.social & @penningerlab.bsky.social haben nun die zellulären antiviralen Abwehrmechanismen in den Schleimhäuten der Tiere untersucht.
www.helmholtz-hzi.de/media-center...
Lichtmikroskopische Aufnahme eines Darmorganoides aus Gewebe von Nilflughunden
penningerlab.bsky.social
Great collaboration on blood vessel organoids to model human vascular development and disease 🧫🔬
marinanikolova.bsky.social
Happy to share our resource for blood vessel organoids!
@zhisonghe.bsky.social, Makiko Seimiya, Gustav Jonsson, Wuji Cao, Ryo Okuda, Reiner Wimmer, Ryoko Okamoto
Barbara Treutlein, @graycamplab.bsky.social, @penningerlab.bsky.social
cp-cell.bsky.social
Now online! Fate and state transitions during human blood vessel organoid development
penningerlab.bsky.social
For research times have become more difficult in many places. We want to spread positivity and show appreciation for our city: We enjoy living and conducting research in Vienna – great science, hospitals, people & art!
#IchForscheGernInWien #Wien
penningerlab.bsky.social
Huge congrats to Gustav Jonsson on his successful completion of his PhD studying biomarkers of clear cell renal cell carcinoma! 💛 #proudlab
penningerlab.bsky.social
Proud of Max Kellner, who defended his PhD this week. A successful conclusion of his PhD journey and start of his own group very soon! 🦇🧫🦠
Reposted by Penninger Lab
smereiter.bsky.social
1/
Hi 🦋! Did you know? Glycans—complex sugar structures—decorate almost every protein processed by the ER/Golgi. These N-glycans coat our cells, playing critical roles in cell interactions and immune processes. 🍬 Curious about how they vary? Let’s dive in! #GlycoTime
penningerlab.bsky.social
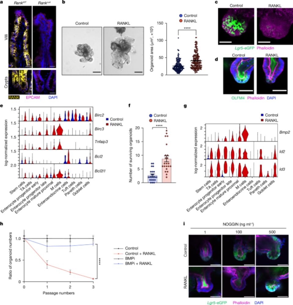
Perfect for our first post: big collaborate effort spearheaded by Masahiro Onji showing how sex hormones and RANK regulate gut expansion during reproduction 🤰🤱
masaonj.bsky.social
Excited to share my latest paper, published today at @natureportfolio.bsky.social ! A big thank you to all our collaborators.

The paper shows how RANK drives intestinal epithelial expansion during reproduction.

#intestine #stemcells #pregnancy

www.nature.com/articles/s41...
RANK drives structured intestinal epithelial expansion during pregnancy - Nature
The RANK–RANKL pathway drives intestinal epithelial expansion in pregnancy and lactation.
www.nature.com