Megan
@megothelioma.bsky.social
120 followers 22 following 45 posts
Pathology Fellow. Always learning. #pathsky
Posts Media Videos Starter Packs
megothelioma.bsky.social
Listen, I know not everyone is an interested as I am in these things but this platelet is HUGE! It's surrounded by some normal-sized ones for reference.

#hematology #pathsky
megothelioma.bsky.social
"Histologically aggressive" CLL

Confluent proliferation centers (1st pic) or Ki-67 index >40%. Might see prolymphocyte-like morphology (2nd pic). Often associated with TP53 mutations (3rd pic; p53 IHC). The prognosis is poorer than usual CLL, so this is important to recognize!

#hemepath #pathlsky
megothelioma.bsky.social
If the blood looks like the first photo (leukoerythroblastic: blasts, teardrop cells, nucleated RBCs), that's a hint that the marrow might look like the second photo - hypercellular with a streaming effect due to fibrosis.

#hematology #hemepath #pathsky
megothelioma.bsky.social
Signet ring morphology in follicular lymphoma. This doesn't seem to have any significance in terms of lymphoma prognostication, but imagine seeing those on an FNA - one might be led astray 👀

#hemepath #pathsky #hematology
megothelioma.bsky.social
In hemepath, we spending a lot of time looking for neuroblastoma but not a lot of time actually seeing neuroblastoma, in my experience. Check out this case - the vacuolization had us thinking about Burkitt, but the IHC was all consistent with neuroblastoma.

#hemepath #pathsky
megothelioma.bsky.social
One of my fabulous attendings sent out these Cellavision photos. Histo antigen was positive!
megothelioma.bsky.social
This turned out to be B-lymphoblastic leukemia but I had never seen a case with such crazy vacuolization!

#pathsky #hemepath #hematopathology #hematology
megothelioma.bsky.social
Forgive my low quality snip of this during conference but this is the ONLY non-CAP malaria case I have seen in my training. "Banana" gametocytes of Plasmodium falciparum. 🍌 🦟

#hematology #pathsky
megothelioma.bsky.social
This young patient's blood was loaded with reticulocytes and polychromatic RBCs. I think it's cool how it gets a blue tinge.

#hematology #pathsky
megothelioma.bsky.social
Nice rouleaux formation. You can see the central pallor on the single cells, so that tells us we're in a good place on the smear and this isn't likely to be artifact. Even less likely to be artifact when I tell you this marrow was 80% involved by PCN!

#hematology #hematopathology #pathsky
megothelioma.bsky.social
This is a feature you can see in some lymphomas, especially high-grade. We don't usually consider lymphovascular invasion in hemepath, but look how it tracks the vessel!

#pathology #hematopathology #pathsky
megothelioma.bsky.social
This is a frozen from the nasal cavity of a pt in their 20s and immunosuppressed. Invasive fungal sinusitis 😬
megothelioma.bsky.social
Even at low-power, this fibroid looks a little funny. Bizarre nuclei. I find the fumarate hydratase stain hard to interpret but the bizarre cells do appear FH deficient. This is a great case of FH-deficient leiomyoma.

#pathsky
megothelioma.bsky.social
This was such a photogenic example from my fellowship director's unknowns that I had to steal it. A teenager with a femur lesion.

DAT
EMPERIPOLESIS
THO!

(Rosai-Dorfman disease)

#thingspathologistssay #pathsky #hematopathology
megothelioma.bsky.social
It is EBER in situ hybridization! This is an EBV+ mucocutaneous ulcer.
megothelioma.bsky.social
This is an ulcerative soft palate lesion in an immunosuppressed patient. Keeping in mind that I'm a *hemepath* fellow....want to take a guess at what that non-H&E slide might be?

#pathsky
megothelioma.bsky.social
Ever seen B-ALL in a kidney? Touch prep shows the cytology a little better. I found two poor tubules hanging on for dear life. Otherwise extensively infiltrated by what workup revealed to be B-ALL.

#pathsky #hematopathology
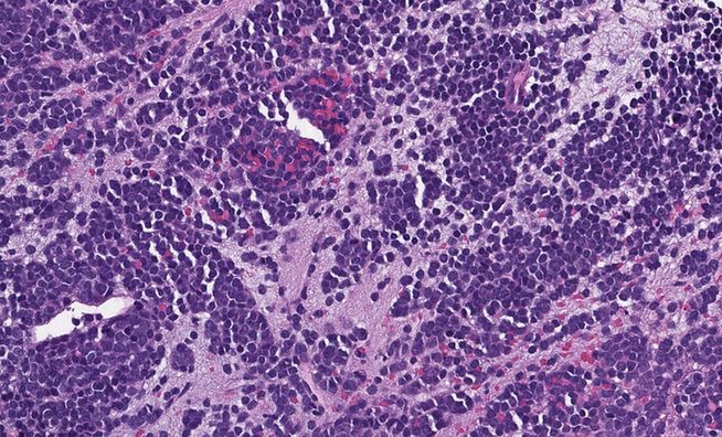
megothelioma.bsky.social
This is a sentinel node from a melanoma resection. From low-power we can that there's no good intact nodal architecture, and we can appreciate some lighter proliferation centers in this lymphoid infiltrate. Yes, there is melanoma in this node, but also incidental CLL/SLL.

#pathsky #hematopathology
megothelioma.bsky.social
Taking advantage of our digital archives before I change institutions
Lung mass in a 50-ish pt. Great illustration of classic Hodgkin lymphoma. Scattered large atypical cells in a robust inflammatory background.
Peep the Path Outlines on HL, authored by the person I stole this case from :D

#pathsky
megothelioma.bsky.social
Just based on morphology, any thoughts about what lymphoid process might be sneaking into this marrow? 🌠

#hematopathology #pathsky #hematology #pathresidents
megothelioma.bsky.social
This patient has a confirmed history of mantle cell lymphoma. I hadn't seen many examples of circulating MCL so here ya go!

#pathsky #pathology #lymphoma #hematopathology #hemepath
megothelioma.bsky.social
🦌 Staghorn nuclei in megakaryocytes

In real life, this finding is nonspecific, but on the exam...

Which myeloproliferative neoplasm characteristically shows "staghorn" nuclear morphology in megakaryocytes?

#pathsky #pathresidents #hematopathology
megothelioma.bsky.social
Melan-A is positive! It's a little melanocytic lesion. Mostly likely a capsular nevus.
megothelioma.bsky.social
So you're reviewing a lymph node excision and you're assessing this nodular lymphoid proliferation, but you notice a little nest in the lymph node capsule 👀🔍

What could it be?

#hematopathology #pathsky
megothelioma.bsky.social
Never seen such a beautiful bone marrow core in all my days 😍

#hematology #pathsky #pathology #hematopathology