Proteomes MDPI
@proteomesmdpi.bsky.social
75 followers 270 following 42 posts
Proteomes (ISSN 2227-7382) is an #openaccess, peer reviewed journal on all aspects of #Proteomics science, published quarterly online by @mdpiopenaccess.bsky.social
Posts Media Videos Starter Packs
proteomesmdpi.bsky.social
✨We welcome you to read the interesting article: Proteomic Analysis of Sputum from Patients with Active Tuberculosis, by Endrei Marcantonio et al.

🔗See more details at www.mdpi.com/2227-7382/13...

#proteomics #proteomes #proteoform #tuberculosis #calprotectin #sputum #OpenAccess
proteomesmdpi.bsky.social
✨We welcome you to read the new paper: Proteomic Analysis of the Periodontal Ligament During Orthodontic Movement: A Study in Rats, by Camila Chierici Marcantonio et al.

🔗See details at www.mdpi.com/2227-7382/13...

#proteomics #proteomes #proteoforms #tooth #orthodontics #ligament #OpenAccess
proteomesmdpi.bsky.social
✨Welcome to read: Bidirectional Interaction Between PGE2-Preconditioned Mesenchymal Stem Cells and Myofibroblasts Mediates Anti-Fibrotic Effects: A #Proteomic Investigation into Equine Endometrial Fibrosis Reversal, by Lidice Méndez-Pérez et al.
🔗 www.mdpi.com/2227-7382/13...
#proteomes #proteoforms
proteomesmdpi.bsky.social
📢We welcome you to read: The Biological Variation in Serum ACE and CPN/CPB2 Activity in Healthy Individuals as Measured by the Degradation of Dabsylated Bradykinin—Reference Data and the Importance of Pre-Analytical Standardization
🔗mdpi.com/2227-7382/13/3/40
#proteomics #proteomes #proteoforms #ACE
proteomesmdpi.bsky.social
📢We welcome you to read: Adiposome Proteomics Uncover Molecular Signatures of Cardiometabolic Risk in Obese Individuals, by Mohamed Saad Rakab et al.

🔗See details at www.mdpi.com/2227-7382/13...

@uicdom.bsky.social

#proteomes #proteomics #proteoforms #adiposomes
#obesity #machine-learning
proteomesmdpi.bsky.social
📢We welcome you to read the interesting paper: Identification of Cancer-Associated Proteins in Colorectal Cancer Using Mass Spectrometry, by Naoyuki Toyota et al.
🔗See details at mdpi.com/2227-7382/13/3/38

#proteomes #proteomics #proteoforms #cancer #mass-spectrometry #biomarker #tumor #OpenAccess
proteomesmdpi.bsky.social
📢We welcome you to read the #Review paper: Uncovering Enzyme-Specific Post-Translational Modifications: An Overview of Current Methods, by Nashira H. Ridgeway and Kyle K. Biggar.
🔗See details at mdpi.com/2227-7382/13/3/37

@carleton.ca

#proteomes #proteomics #proteoforms #PTM #protein #signaling
proteomesmdpi.bsky.social
📢We welcome you to read: Cell Surface Proteomics Reveals Hypoxia-Regulated Pathways in Cervical and Bladder Cancer, by Faris Alanazi, @achoud72.bsky.social et al.
🔗See more at: mdpi.com/2227-7382/13/3/36
@manchester.ac.uk

#proteomes #proteomics #proteoforms #hypoxia #biotinylation #cancer #LC-MS/MS
proteomesmdpi.bsky.social
📢We welcome you to read: Multiplex Targeted Proteomic Analysis of Cytokine Ratios for ICU Mortality in Severe COVID-19, by Rúben Araújo et al.
🔗See details at: mdpi.com/2227-7382/13/3/35

@mdpiopenaccess.bsky.social

#proteomes #proteomics #proteoforms #cytokine
#machine-learning #COVID-19
proteomesmdpi.bsky.social
📢We welcome you to read: Molecular Remodeling of the Sperm Proteome Following Varicocele Sclero-Embolization: Implications for Semen Quality Improvement, by Domenico Milardi et al.
🔗See details at mdpi.com/2227-7382/13/3/34
#proteomes #proteomics #proteoforms #varicocele
#sclero-embolization #sperm
proteomesmdpi.bsky.social
Thank you for your comments. You may wish to contact the authors directly, as they may not be actively following social media discussions.
proteomesmdpi.bsky.social
📢We welcome you to read: Comprehensive Integrated Analyses of Proteins and Metabolites in Equine Seminal Plasma (Horses and Donkeys), by Xin Wen et al.

🔗See details at: mdpi.com/2227-7382/13/3/33

#proteomics #proteomes #proteoforms #metabolomics #sperm #horse #donkey #OpenAccess
proteomesmdpi.bsky.social
✨Welcome to read: #Proteomic Profiling Reveals Novel Molecular Insights into Dysregulated Proteins in Established Cases of #Rheumatoid #Arthritis, by Afshan Masood et al.

👉see details at: mdpi.com/2227-7382/13/3/32

@uqam.ca
#proteomes #proteoform #osteocalcin #metallothionein-2 #MALDI-TOF
proteomesmdpi.bsky.social
✨Welcome to read: Comparative #Label-Based #Proteomics of #Venoms from Echis ocellatus, Naja nigricollis, and Bitis arietans, by Abdulbaki Alfa-Ibrahim Adio et al.

👉See details at: mdpi.com/2227-7382/13/3/31

#proteomes #proteoforms #iTRAQ #envenomation #antivenom #mass-spectrometry #OpenAccess
proteomesmdpi.bsky.social
✨We’re pleased to have the opportunity to support our Editorial Board Member, Dr. Pierluigi Mauri, with travel grant to attend The 21st Congress on Neutron Capture Therapy. Congratulations on his successful presentation! 🎉

#proteomes #proteomics #proteoforms
proteomesmdpi.bsky.social
✨Welcome to read: #SDS Depletion from Intact #Membrane #Proteins by KCl Precipitation Ahead of Mass Spectrometry Analysis, by Tania Iranpour et al.

👉See details at mdpi.com/2227-7382/13/3/30

@dalhousie.bsky.social

#proteomes #proteomics #proteoforms #detergents #mass-Spectrometry #OpenAccess
proteomesmdpi.bsky.social
📢Welcome to read: Alterations in #Tear #Proteomes of Adults with #Pre-Diabetes and Type 2 #Diabetes #Mellitus but Without Diabetic #Retinopathy, by Guoting Qin et al.

See details at mdpi.com/2227-7382/13/3/29
@uh.edu
#proteomes #proteomics #proteoforms #machine #learning #OpenAccess
proteomesmdpi.bsky.social
📢Welcome to read: Evaluating Protein Extraction Techniques for Elucidating #Proteomic Changes in #Yeast Deletion Strains, by Valentina Rossio and @jpaulo.bsky.social.

See details at mdpi.com/2227-7382/13/3/28

@harvardmed.bsky.social

#proteomes #proteomics #proteoforms #SUMOylation #OpenAccess
proteomesmdpi.bsky.social
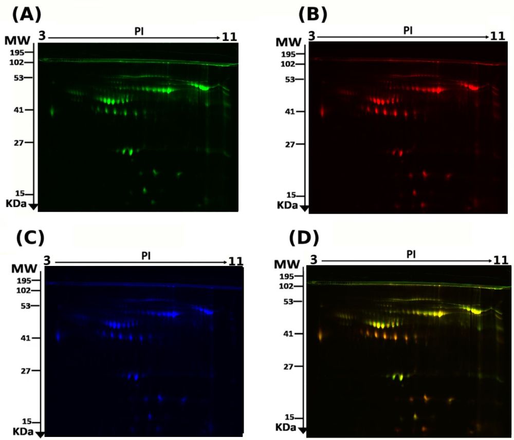
📢Welcome to read: #Proteoform Patterns in #Hepatocellular Carcinoma Tissues: Aspects of #Oncomarkers, by Elena Zorina et al.

🔗See details at mdpi.com/2227-7382/13/3/27

#proteomes #proteomics #hepatocarcinoma #2D-electrophoresis #OpenAccess
proteomesmdpi.bsky.social
📢Welcome to read: #Next-Generation Protein–Ligand Interaction Networks: #APEX as a Powerful Technology, by José Miguel Quintero-Ferrer et al.

🔗See details at: mdpi.com/2227-7382/13/3/26
@mnhn.fr

#proteomes #proteomics #proteoforms #mass-spectrometry #OpenAccess
proteomesmdpi.bsky.social
📢Welcome to read: Deciphering #Radiotherapy #Resistance: A #Proteomic Perspective, by Dr. Davide Perico and Dr. Pierluigi Mauri.

🔗See details at: mdpi.com/2227-7382/13/2/25

#proteomes #proteoform #biomarkers #OpenAccess
Reposted by Proteomes MDPI
mattpadula.bsky.social
Want to see me rant about Bioinformatics related to Proteomics? Here's your chance.

UTS-USYD Bioinformatics Symposium 2025 - Fri 18 July. Green Theatre (Building 7, Level 2, Room 025) at UTS.
Register here: forms.gle/8CwyBjGAtBcF..., or the QR code in the flyer.
proteomesmdpi.bsky.social
📢Welcome to read: Advances in the Study of #Protein #Deamidation: Unveiling Its Influence on Aging, Disease Progression, Forensics and Therapeutic Efficacy, by Sunil S. Adav, from Nanyang Technological University.

🔗See details at mdpi.com/2227-7382/13/2/24

#proteomes #proteomics #proteoforms
proteomesmdpi.bsky.social
📢Welcome to read: A Clinical Validation of a Diagnostic Test for Esophageal Adenocarcinoma Based on a Novel Serum #Glycoprotein #Biomarker Panel: #PromarkerEso, by Jordana Sheahan et al.
🔗 mdpi.com/2227-7382/13/2/23
@flindersuniversity.bsky.social
#proteomes #proteomics #proteoforms #MRM-MS
proteomesmdpi.bsky.social
📢Welcome to read: #Chromosome X Open Reading Frame 38 (#CXorf38) Is a #Tumor Suppressor and Potential Prognostic #Biomarker in Lung #Adenocarcinoma: The First Characterization, by Rui Yan et al.
See more at: 🔗mdpi.com/2227-7382/13/2/22
#proteomics #proteomes #proteoforms #cancer #protein #OpenAccess