Current Medical Science
@currentmedscience.bsky.social
22 followers 86 following 180 posts
Current Medical Science is a peer-reviewed journal publishing original, innovative & influential insightful reviews, comments, & special topic articles across diverse medical disciplines, including biomedicine, public health, and related fields.
Posts Media Videos Starter Packs
Pinned
currentmedscience.bsky.social
Cite Score Alert!

We’re proud to announce that our 2024 #CiteScore is 3.8!
We appreciate our authors, reviewers, readers, and editorial team.

Submit your research to @currentmedscience.bsky.social & be part of our growing journey!

link.springer.com/journal/11596/

#ScienceSky #medsky #academicsky
currentmedscience.bsky.social
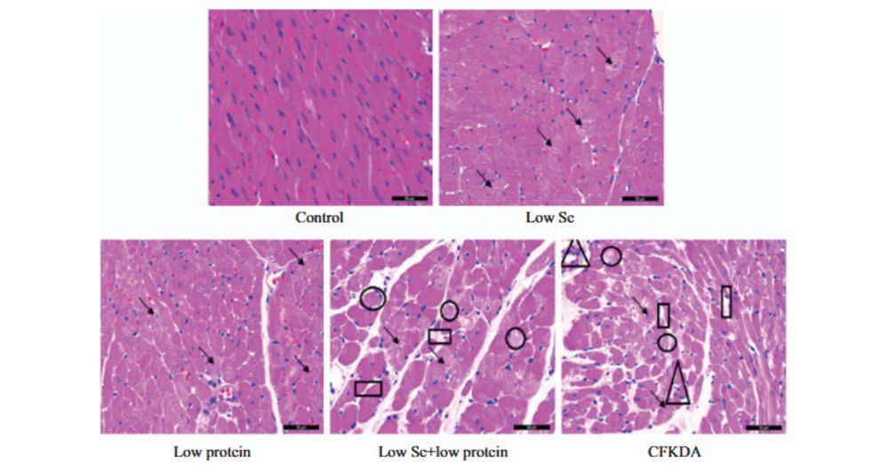
This study reveals that low #Selenium and protein levels exacerbate #MyocardialInjury in #KeshanDisease by disrupting the PINK1/Parkin-mediated #Mitochondrial #Autophagy pathway, pointing to novel therapeutic strategies for intervention.

Read more: link.springer.com/article/10.1...
currentmedscience.bsky.social
This study by @2024HUST examines the accuracy and proficiency of #GPT4.0 on multidimensional Japanese medical practitioner qualification exams, analyzing its response performance & revealing new opportunities for the medical field. #medsky

Read: link.springer.com/article/10.1...
currentmedscience.bsky.social
This research found that low Hb, ALB, & PLT levels and elevated IL-1β are independent risk factors for poor prognosis in #PediatricSepsis, highlighting the value of early detection to improve outcomes. #ClinicalResearch #medsky

Read more:
Characteristics and Risk Factors for Pediatric Sepsis - Current Medical Science
Objective Sepsis is considered a major cause of health loss in children and had high mortality and morbidity. Currently, there is no reliable model for predicting the prognosis of pediatric patients…
link.springer.com
currentmedscience.bsky.social
This study identifies #BCL6 suppression as a promising strategy to reduce #Tfhcell differentiation, attenuate #IgE secretion, and mitigate #AirwayInflammation, thereby highlighting its therapeutic potential in #Asthma. #medsky

Read more: link.springer.com/article/10.1...
currentmedscience.bsky.social
This study highlights the mechanism of circ-Astn1 overexpression in protecting high glucose damage via the miR-138-5p/SIRT1 axis in #DiabeticRetinopathy. #medsky
#OpenAccess:
doi.org/10.1007/s115...
currentmedscience.bsky.social
This research reveals that #Salidroside can boost the effectiveness of #Paclitaxel in non-small cell #LungCancer by regulating the Wnt/β-catenin signaling pathway, suggesting a potential combinatorial #therapeutic strategy. #medsky
Read:
link.springer.com/article/10.1...
currentmedscience.bsky.social
This study demonstrates that 3-BrPA enhances the anti-tumor effect of embolization, leading to more complete tumor necrosis and representing a promising combination therapy for liver cancer. #CancerTherapy #LiverCancer #medsky
Read:
doi.org/10.1007/s115...
currentmedscience.bsky.social
This research highlights the vital role of #ferroptosis in #HepatocellularCarcinoma (HCC) and presents GRINA inhibition, which induces #mitochondrial damage and ferroptosis in HCC, as a novel #therapeutic approach. #medsky
To read:
link.springer.com/article/10.1...
currentmedscience.bsky.social
This research explores the potential of the UCRT frame technique for effective closed reduction in complex pelvic injuries, demonstrating promising clinical outcomes. #PelvicFractures #HipJointReplacement #medsky
Read:
doi.org/10.1007/s115...
currentmedscience.bsky.social
This study advocates for early intervention and tailored prevention strategies for severe mental disorders in children and adolescents to mitigate the impact on their psychological well-being and development. #YouthMentalHealth #MentalHealth #medsky
Read:
link.springer.com/article/10.1...
currentmedscience.bsky.social
This study highlights zinc finger protein 554 (ZNF554) as a #Tumor suppressor by regulating the RBM5/WNT/β-catenin pathway in uterine corpus #EndometrialCarcinoma (UCEC), positioning ZNF554 as a novel #therapeutic target for UCEC. #medsky
Read:
link.springer.com/article/10.1...
currentmedscience.bsky.social
Today, on #WorldAlzheimersDay, we at @cmedicalscience commit ourselves to raise awareness, end misconceptions, and promote social support for individuals living with #Alzheimersdisease.
Let’s salute the dedication of researchers fighting #memoryloss.

link.springer.com/journal/11596
currentmedscience.bsky.social
This review explores recent advances in deep learning for fracture diagnosis and outlines future directions in orthopedic practice. #medsky
Read here:
link.springer.com/article/10.1...
currentmedscience.bsky.social
This study shows that low #Mitofusin-2 expression in #HepatocellularCarcinoma (HCC) promotes #NuclearTranslocation of β-catenin via the EMT pathway, leading to #DrugResistance, uncovering new avenues in treating #Sorafenib-resistant HCC. #medsky
See:
link.springer.com/article/10.1...
currentmedscience.bsky.social
This study shows that interfering with miR-17 can significantly reduce #LungFibrosis in #AcuteRespiratoryDistressSyndrome (ARDS) by regulating Mfn2, positioning miR-17 as a #therapeutic target in #ARDS-related lung fibrosis. #medsky
Read:
link.springer.com/article/10.1...