@aga-gastro.bsky.social
220 followers 1 following 91 posts
Posts Media Videos Starter Packs
aga-gastro.bsky.social
Review examines pharmacomicrobiomics and the role of the #GutMicrobiome in immunomodulation and cancer therapy. Read the full article here: ow.ly/34GO50X7evW
aga-gastro.bsky.social
⏪ Let's take a look back at one of the most engaging articles from this past summer — an ERCP review highlighting how the ability to prevent and treat ERCP-related adverse events has improved substantially. Click the link to read the article: ow.ly/3ANV50X7iOH
aga-gastro.bsky.social
🌟 Click the link to read the global consensus recommendations for #MASLD and #MASH now!
🔗 ow.ly/fOWQ50X7cFb
aga-gastro.bsky.social
🔥Hot paper by junior investigators examines inadequate propulsion and pelvic floor relaxation in dyssynergic defecation. Click the link to learn more insights from synchronous proctomanometry:
🔗 ow.ly/oMFU50X3CLU
aga-gastro.bsky.social
Study finds tumor necrosis factor-like ligand 1A/death receptor 3 signaling regulates the generation of pathogenic T helper 9 cells in experimental #CrohnsDisease. Read more at ow.ly/1tXA50X3Cf1
#IntestinalInflammation
aga-gastro.bsky.social
Review article examines regulation of hepatic stellate cell phenotypes in metabolic dysfunction–associated steatohepatitis.
🔗 ow.ly/Szwr50X3Bt4
#LiverFibrosis #MALSD
aga-gastro.bsky.social
✨ This month's Editor's Essential Reading found that 15 sessions of acupuncture treatment over 6 weeks improved abdominal pain and stool consistency in #IBS-D patients, with sustained efficacy over 18 weeks. Click the link to learn more:
🔗 ow.ly/Q8Wy50X2osh
aga-gastro.bsky.social
📣 The October issue of #Gastroenterology is now online. Essential reading includes:
📖 An AGA Clinical Practice Guideline on #gastroparesis;
📖 A brief report on out-of-pocket costs for #colonoscopy preparation
📖 ...and more!
🔗 ow.ly/uqk850WZtfc
aga-gastro.bsky.social
After Stage I #GastricCancer resection, patients treated with MEK inhibitor showed no side effects, improved endoscopy scores, increases in parietal cell mass and decreases in intestinal metaplasia. Learn more at ow.ly/4h1o50WWYg3
aga-gastro.bsky.social
New in Gastroenterology! Study shows how #LLMs can cut systematic review screening time by 95% while maintaining 100% sensitivity — transforming evidence synthesis for clinical guidelines.
🔗 ow.ly/BcPx50WTjWs
#OpenAI
aga-gastro.bsky.social
📝 Click the link below to read the article recommended by Dr. Iris Lansdorp-Vogelaar because "it offers a valuable lesson on how promising results from clinical studies do not always translate into improved outcomes in real-world practice."
🔗 ow.ly/qpsv50WUbEJ
aga-gastro.bsky.social
✨ Introducing #Gastroenterology Associate Editor, Dr. Iris Lansdorp-Vogelaar! A couple of her favorite aspects about her role include: 1️⃣exposure to a broad range of multidisciplinary topics and 2️⃣the composition of the editorial team. Read her bio here: ow.ly/95Vb50WUbwo
aga-gastro.bsky.social
🚨 New article in press examining shame's role in bowel disorders of gut-brain interaction was picked up in MedicalXpress.
📰 Check out the press coverage: ow.ly/efBW50WTiZw
📝 Read the original research paper: ow.ly/vgwF50WTiZv
aga-gastro.bsky.social
🍷 Associations between alcohol intake and #liver-related events vary across drinking categories, with those at higher genetic risk for #HepaticSteatosis being more susceptible to alcohol’s effects. Learn more at www.gastrojournal.org/article/S0016-5085(25)00712-7/fulltext
aga-gastro.bsky.social
FUT7 enhances Treg intestinal homing and immunosuppression. Thus, up-regulating FUT7 expression in Tregs could be a novel therapeutic strategy for #IBD.
🔗 www.gastrojournal.org/article/S001...
aga-gastro.bsky.social
Study finds stromal stiffness-regulated IGF2BP2 in #PancreaticCancer drives immune evasion via sphingomyelin metabolism. Want to learn more? Click the link:
🔗 www.gastrojournal.org/article/S0016-5085(25)00542-6/fulltext
aga-gastro.bsky.social
Transcription-replication conflicts are a unique vulnerability in #PancreaticCancer that can be targeted in the clinic using a novel small molecule inhibitor. Read more at www.gastrojournal.org/article/S0016-5085(25)00533-5/fulltext
aga-gastro.bsky.social
💥 New Review examines #AcutePancreatitis in children and its unique challenges, which are distinct from adult manifestations. Click the link to learn more: www.gastrojournal.org/article/S0016-5085(25)00633-X/fulltext
#PediatricPancreatitis #PancreatitisAwareness
aga-gastro.bsky.social
✨ The September Editor's Essential Reading shows active #IBD on intestinal ultrasound increases the risk of pregnancy complications, independent of clinical and biochemical disease activity.
🔗 www.gastrojournal.org/article/S0016-5085(25)00537-2/fulltext
aga-gastro.bsky.social
📣 The September issue of #Gastroenterology is now online! This month's reading includes new research on mechanisms involved in #PancreaticCancer, a study investigating #IBD activity in pregnancy and the risk of negative pregnancy outcomes...and more!
🔗 www.gastrojournal.org/current
aga-gastro.bsky.social
If you read the study "Efficacy and Safety of Guselkumab Subcutaneous Induction and Maintenance in Participants with Moderately to Severely Active Crohn’s Disease," check out the corresponding editorial ➡️ www.gastrojournal.org/article/S001...
aga-gastro.bsky.social
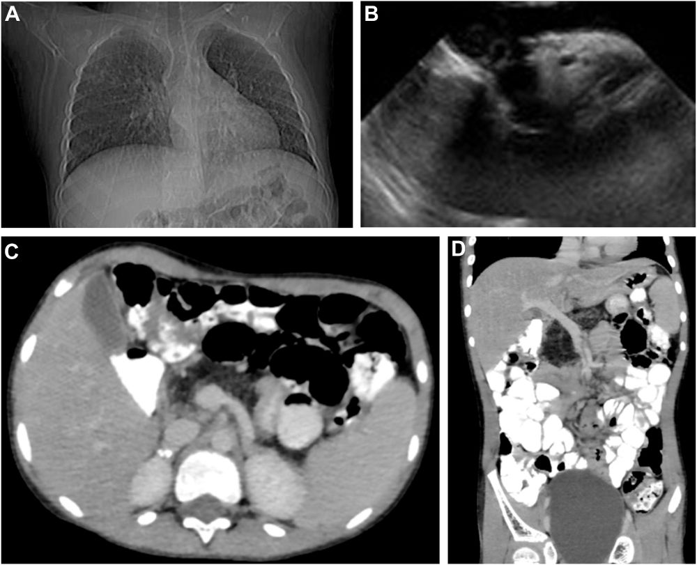
📸 Gastro Curbside Consult unravels a case of #FattyPancreas in a 10-year-old child. Read about the case and try to solve the diagnosis 🔎 www.gastrojournal.org/article/S0016-5085(25)00340-3/fulltext
aga-gastro.bsky.social
Study finds sucrase (not isomaltase) genetic defects are responsible for increased disease risk and symptom burden in #IBS, which is relevant to dietary management of #IBS and carbohydrate digestion.
🔗 www.gastrojournal.org/article/S0016-5085(25)00362-2/fulltext
aga-gastro.bsky.social
Study examines the efficacy of texture and color enhancement imaging observation in the detection of #ColorectalLesions. Want to learn more? Read the full article ⬇️ www.gastrojournal.org/article/S001...
aga-gastro.bsky.social
Does Rifaximin worsen outcomes in Daptomycin Rx #cirrhosis patients? New #Gastroenterology study shows no significant impact in Trinetx and VAResearch cohorts!
🔗 ow.ly/bJXG50WzyMR
🖊️