BMC
@bmc.springernature.com
830 followers 400 following 670 posts
A pioneer of sustainable open access, where research is always in progress.
Posts Media Videos Starter Packs
bmc.springernature.com
A study published in the Journal of Translational Medicine finds that iron deficiency, dysregulation of iron homeostasis and ferroptosis pathways may contribute to colorectal cancer progression.

#MedSky #OncoSky
Impact of iron deficiency on therapeutic outcomes in colorectal cancer patients: a single-center cohort study - Journal of Translational Medicine
Background Iron deficiency (ID) exhibits strikingly high prevalence in colorectal cancer (CRC), yet its prognostic implications remain insufficiently characterized. This study aimed to evaluate the association between pre-treatment ID status and therapeutic outcomes in patients undergoing standardized treatment protocols for CRC. Methods A retrospective cohort of 1003 CRC patients was analyzed to assess the prevalence of ID and its correlations with clinicopathologic features, postoperative recovery, neoadjuvant therapy response, and iron metabolism and ferroptosis-related gene expression. The association of ID with clinicopathologic data, laboratory parameters, and treatment patient outcome was analyzed using logistic regression. Prussian blue staining was used to assess iron levels in tumor and adjacent noncancerous tissues. Bioinformatics was employed to analyze the expression levels of iron metabolism and ferroptosis-related genes. Results ID was identified in 50.85% (510/1003) of patients. Compared with non-ID patients, those with ID exhibited higher female predominance (56.8% vs. 43.2%), significant increased prevalence of anemia (76.2% vs. 23.8%), and elevated levels of C-reactive protein (CRP), along with decreased albumin (Alb) levels. Clinicopathologic associations with ID included larger tumor diameter, more advanced pathological T/N/M stages, poorer tumor differentiation, and increased lymphovascular and perineural invasion. Among patients received neoadjuvant therapy, ID was associated with higher clinical T/N stages and lower tumor regression grades. Postoperatively, ID patients experienced significantly longer time to first flatus, lower albumin levels, and elevated inflammatory markers. Prussian blue staining revealed reduced iron content in both tumor and adjacent tissues of ID patients. Molecular analyses identified dysregulated iron metabolism genes, with DMRT1, HAMP, FTH1, FTL, TFRC, LCN2, PCBP1 and PCBP2 upregulated and ACO1, IRPEB2, OTUD1, SLC40A1 and NCOA4 downregulated in tumor tissues. Ferroptosis suppressor genes (LCN2, TFRC and SLC40A1) were overexpressed in non-responders to chemoradiotherapy. Conclusion ID is closely associated with aggressive tumor biology, suboptimal response to neoadjuvant therapy, and impaired postoperative recovery. Dysregulation of iron homeostasis and ferroptosis pathways in ID patients may contribute to CRC progression. These findings highlight ID as a potential biomarker for risk stratification and suggest that targeting iron metabolism could improve therapeutic outcomes in CRC management.
bit.ly
bmc.springernature.com
The triglyceride index, particularly when measured in umbilical cord blood, may serve as a useful predictor of adverse neonatal outcomes in pregnancies affected by preeclampsia, suggests a study published in BMC Pediatrics.

#MedSky
The predictive role of maternal and umbilical cord triglyceride–glucose index on neonatal health in preeclamptic pregnancies: a prospective observational study - BMC Pediatrics
Objective To evaluate the predictive value of maternal and umbilical cord blood triglyceride-glucose (TyG) index for adverse neonatal outcomes in pregnancies complicated by preeclampsia. Study design This prospective case-control study included 43 pregnant women diagnosed with preeclampsia and 45 normotensive controls. Maternal and umbilical cord blood samples were collected at the time of delivery to measure glucose and triglyceride levels. TyG index was calculated for both maternal and cord blood. Neonatal outcomes including Apgar scores, NICU admission, and composite neonatal morbidity were recorded. ROC analysis was performed to assess the predictive accuracy of TyG indices. Results Maternal and cord blood TyG indices were significantly higher in the preeclampsia group compared to the control group (p < 0.001). ROC analysis revealed that a cord blood TyG index > 7.59 predicted composite adverse neonatal outcomes with 92% sensitivity and 72% specificity (AUC: 0.853, 95% CI: 0.74–0.96, p < 0.001). NICU admission rates and low Apgar scores were more frequent in the preeclampsia group, indicating a significant association between elevated TyG indices and adverse neonatal outcomes. Conclusion The TyG index, particularly when measured in umbilical cord blood, may serve as a useful predictor of adverse neonatal outcomes in pregnancies affected by preeclampsia. This easily accessible metabolic marker could support perinatal risk stratification and clinical decision-making.
bit.ly
bmc.springernature.com
A study in BMC Psychology provides experimental evidence that gratitude journaling enhances work engagement by increasing awareness of job resources, suggesting that gratitude must be actively cultivated rather than assumed to arise naturally.

#PsychSciSky #MedSky
Enhanced work engagement in Japanese employees following a 12-day online gratitude journal intervention - BMC Psychology
Background Gratitude interventions have shown various psychological benefits, including enhanced motivation in academic settings. However, their impact on work engagement - a key factor in employee well-being and organizational performance - remains underexplored. This study examined whether a 12-day online gratitude journaling intervention enhances work engagement and increases awareness of job resources, based on the Job Demands-Resources (JD-R) Model. Methods A total of 100 Japanese employees (mean age = 41.0 ± 5.2 years, evenly split by gender) were randomly assigned to a gratitude journal group or a daily life journal group (control). Participants in the gratitude journal group recorded things they felt grateful for, while the control group documented daily occurrences. Work engagement was assessed using the Utrecht Work Engagement Scale (UWES), alongside measures of work motivation, gratitude disposition, perspective-taking, life satisfaction, and psychological well-being. Journal entries were analyzed using word frequency analysis and correspondence analysis to examine whether gratitude journaling enhanced awareness of job resources. Results Participants in the gratitude journal group exhibited a significant increase in work engagement (total score and absorption dimension) post-intervention, supporting the idea that gratitude journaling enhances engagement. Journal content analysis revealed that gratitude journaling was associated with greater recognition of job resources, such as social support, suggesting a mechanism through which gratitude influences work engagement. Both groups showed increases in gratitude disposition, life satisfaction, and competitive-oriented work motivation, suggesting possible broader journaling benefits. In contrast, the daily life journal group experienced temporary declines in purpose in life and autonomy. Conclusions This study provides experimental evidence that gratitude journaling enhances work engagement by increasing awareness of job resources, integrating gratitude into the JD-R Model. The findings suggest that gratitude must be actively cultivated rather than assumed to arise naturally. Given its accessibility and low cost, gratitude journaling offers a promising tool for organizations to foster employee engagement. Future research should examine its long-term effects and evaluate its applicability across diverse cultural contexts.
bit.ly
bmc.springernature.com
A study in BMC Biology shows that interactions between Egyptian fruit bats and black rats are complex and dynamically modulated by seasonal changes in resource availability. It also highlights the ability of urban-dwelling animals to coexist and exploit resources in dynamic environments. 🌍
Complex competition interactions between Egyptian fruit bats and black rats in the real world - BMC Biology
Background Interspecific interactions, including competition and predation, are key drivers of ecological systems. Understanding these interactions remains challenging in the wild as it requires quantifying their effects, particularly the non-consumptive effects (NCEs) driven by predation risk. We conducted a 7-month study in a semi-natural open bat colony, monitoring interactions between Egyptian fruit bats (Rousettus aegyptiacus) and black rats (Rattus rattus) competing for food, where rats also pose a potential predation risk to the bats. Results Video analysis revealed that bat responses to rats were fundamentally different from responses to conspecifics. The primary response was avoidance, with bat landings near food decreasing significantly when rats were present. For the 789 landings that did occur, bats showed increased vigilance and reduced foraging success, demonstrating clear NCEs. Crucially, bat foraging strategies were highly context-dependent, shifting with seasonal resource availability and rat abundance. During winter when rats were uncommon, the bats primarily employed predation risk-averse strategies (avoidance and vigilance). In spring, when rats were frequent, although there was clear temporal partitioning between the bat and the rat populations, some of the bats shifted to heterospecific interference competition, and occasionally attacked the rats to gain access to food—a behavior inconsistent with simple risk-aversion models. Conclusions Our findings demonstrate that the bat-rat interactions are dynamically modulated by resource availability, which alters rat presence and thereby the context-dependent interplay between interference competition and NCEs. This study provides rare quantitative evidence of how behaviorally flexible animals strategically manage interference competition and predation risk based on seasonal ecological conditions.
bit.ly
bmc.springernature.com
A study published in Molecular Neurodegeneration offers a framework to leverage natural protective mechanisms to mitigate neurodegeneration and preserve cognition in Alzheimer’s disease.

#MedSky #alzsky
Molecular hallmarks of excitatory and inhibitory neuronal resilience to Alzheimer’s disease - Molecular Neurodegeneration
Background A significant proportion of individuals maintain cognition despite extensive Alzheimer’s disease (AD) pathology, known as cognitive resilience. Understanding the molecular mechanisms that protect these individuals could reveal therapeutic targets for AD. Methods This study defines molecular and cellular signatures of cognitive resilience by integrating bulk RNA and single-cell transcriptomic data with genetics across multiple brain regions. We analyzed data from the Religious Order Study and the Rush Memory and Aging Project (ROSMAP), including bulk RNA sequencing (n = 631 individuals) and multiregional single-nucleus RNA sequencing (n = 48 individuals). Subjects were categorized into AD, resilient, and control based on β-amyloid and tau pathology, and cognitive status. We identified and prioritized protected cell populations using whole-genome sequencing-derived genetic variants, transcriptomic profiling, and cellular composition. Results Transcriptomics and polygenic risk analysis position resilience as an intermediate AD state. Only GFAP and KLF4 expression distinguished resilience from controls at tissue level, whereas differential expression of genes involved in nucleic acid metabolism and signaling differentiated AD and resilient brains. At the cellular level, resilience was characterized by broad downregulation of LINGO1 expression and reorganization of chaperone pathways, specifically downregulation of Hsp90 and upregulation of Hsp40, Hsp70, and Hsp110 families in excitatory neurons. MEF2C, ATP8B1, and RELN emerged as key markers of resilient neurons. Excitatory neuronal subtypes in the entorhinal cortex (ATP8B+ and MEF2Chigh) exhibited unique resilience signaling through activation of neurotrophin (BDNF-NTRK2, modulated by LINGO1) and angiopoietin (ANGPT2-TEK) pathways. MEF2C+ inhibitory neurons were over-represented in resilient brains, and the expression of genes associated with rare genetic variants revealed vulnerable somatostatin (SST) cortical interneurons that survive in AD resilience. The maintenance of excitatory-inhibitory balance emerges as a key characteristic of resilience. Conclusions We have defined molecular and cellular hallmarks of cognitive resilience, an intermediate state in the AD continuum. Resilience mechanisms include preserved neuronal function, balanced network activity, and activation of neurotrophic survival signaling. Specific excitatory neuronal populations appear to play a central role in mediating cognitive resilience, while a subset of vulnerable interneurons likely provides compensation against AD-associated hyperexcitability. This study offers a framework to leverage natural protective mechanisms to mitigate neurodegeneration and preserve cognition in AD.
bit.ly
bmc.springernature.com
A study in BMC Neurology reveals that Alice in Wonderland syndrome, a neuropsychiatric disorder marked by sensory perception distortions and altered body image, is prevalent in younger adults with persistent headaches post-COVID-19, particularly those with a migraine history.
#MedSky
Exploring Alice in Wonderland syndrome in adults with persistent headache after COVID-19: a cross-sectional study in Latin America - BMC Neurology
Background Alice in Wonderland syndrome (AIWS) is a neuropsychiatric disorder characterized by sensory perception distortions, including altered body image perception and distortions of shape, size, motion, color, and speed. Migraine and infectious diseases are among the most common etiologies of AIWS. However, it has not been studied in individuals with persistent headache after COVID-19. Methods This cross-sectional study included a subset of individuals with AIWS symptoms derived from a survey conducted in Latin America to identify adults with persistent headache after COVID-19. For data analysis, AIWS individuals were characterized by sex and analyzed using univariable tests. Subsequently, the entire study cohort was stratified into two groups: the AIWS group and the non-AIWS group. Binomial logistic regression using the backward stepwise selection method was performed to identify the factors associated with AIWS after COVID-19. Results Out of 421 participants with persistent headache after COVID-19, 106 (25.2%) reported at least one AIWS symptom. The AIWS group was significantly younger (median age 36 vs. 39 years, p = 0.011) and had a higher proportion of pre-existing migraine (40.6% vs. 29.5%, p = 0.035) compared to the non-AIWS group. The most common post-COVID-19 AIWS symptoms were time distortion (32.1%), derealization/depersonalization (24.5%), and hyperchromatopsia (20.8%). Logistic regression analysis revealed that experiencing any AIWS symptom during acute COVID-19 was the strongest predictor for post-acute AIWS (OR = 9.937, 95% CI = 5.603–17.62, p <0.001). Other significant predictors included phonophobia (OR = 2.322, 95% CI = 1.288–4.185, p = 0.005) and depressive symptoms (OR = 1.937, 95% CI = 1.099–3.413, p = 0.022) during acute COVID-19. Conclusion In this cohort, AIWS was a notable feature in adults with persistent headache after COVID-19, particularly in younger individuals with a history of migraine. Experiencing AIWS symptoms during acute infection increased the odds of post-acute AIWS symptoms nearly tenfold, suggesting SARS-CoV-2 may be a potent trigger. Clinicians should be aware of this association and screen for perceptual disturbances in patients with post-COVID-19 neurological sequelae.
bit.ly
bmc.springernature.com
A study in BMC Psychiatry finds that depression is consistently associated with multiple inflammation-related physical health conditions, although associations did not persist after adjustment for lifestyle factors and baseline physical condition count.

#MedSky #PsychSciSky
Depression and incidence of inflammation-related physical health conditions: a cohort study in UK Biobank - BMC Psychiatry
Background Depression is associated with multiple physical health conditions, and inflammation is a mechanism commonly proposed to explain this association. We aimed to investigate the association between depression and the incidence of physical health conditions thought to have an inflammatory etiological component, including coronary heart disease, peripheral arterial disease, type 2 diabetes, inflammatory bowel disease, inflammatory arthritis and Parkinson’s Disease. Methods We conducted a cohort study using UK Biobank (UKB) data linked to primary care, hospital admission and death data. We ascertained depression at baseline using primary care and hospital records, and self-report at the UKB baseline assessment. We identified incident physical health conditions during follow-up using primary care, hospital admission and death data. We used Cox proportional hazards models to determine hazard ratios of each incident inflammation-related condition in those with versus without depression at baseline, serially adjusting for sociodemographic factors, lifestyle factors and baseline count of morbidities. Result We included 172,556 UKB participants who had continuous primary care records. Of these, 30,770 (17.8%) had a history of depression at baseline. After excluding participants with missing data, 168,641 (98%) were included in analysis. Median follow-up was 7.1 years (IQR: 6.3, 8.0). In the model adjusted for age and sex, depression was significantly associated with a higher hazard of all inflammation-related conditions. After additionally accounting for differences in country, ethnicity and deprivation, the association between depression and each condition generally attenuated but remained statistically significant, with effect estimates ranging from a 30% increased hazard of inflammatory bowel disease (HR 1.30, 95% CI 1.06 to 1.58) to a 53% increased hazard of Parkinson's Disease (HR 1.53, 95% CI 1.25 to 1.87). After further adjusting for lifestyle factors and comorbidity count, the association persisted only for Parkinson's Disease (HR 1.45, 95% CI 1.18–1.79). Conclusions Our study found that depression is consistently associated with multiple inflammation-related physical health conditions, although associations did not persist after adjustment for lifestyle factors and baseline physical condition count. Further research is needed to explore underlying mechanisms, including inflammatory biomarkers and modifiable lifestyle factors on the causal pathway.
bit.ly
bmc.springernature.com
A study in BMC Endocrine Disorders finds that in young populations, higher triglyceride index is associated with an increased risk of metabolic dysfunction-associated steatotic liver disease, especially once the TyG index exceeds 8.3.

#MedSky
Association between TyG index and MASLD in lean young adults: a retrospective study - BMC Endocrine Disorders
Background The relationship between the TyG index and MASLD in lean young populations remains unclear. Methods In this retrospective study, we analyzed data from individuals aged 18 to 35 Years old who underwent abdominal ultrasound examinations at a healthcare management center from January 2019 to December 2023. First, we categorized the TyG index into quartiles and used logistic regression models to examine the relationship between MASLD and TyG. Next, we applied restricted cubic splines (RCS) to assess whether the relationship between TyG and MASLD followed a nonlinear pattern. Additionally, we stratified the analysis by sex to explore whether the association between MASLD and TyG differed between males and females. Results A total of 20,242 participants (14763 women [72.9%]; [mean ± SD] age, 29.07 [3.60]) were included in the study. The overall incidence of MASLD was 5.1%. The median (IQR) TyG index was 8.0 (7.6, 8.2). The association between TyG index and the incidence of MASLD followed a reverse L-shaped, with a cut-off value of 8.3. For each 1-unit increase in the TyG index, the association was significant both below 8.3 (HR = 2.1; 95%CI: 1.4-3.4 ) and above this threshold (HR = 12.1; 95%CI: 8.2–17.8). A significant interaction between sex and the TyG index was observed (P < 0.001). Both males and females showing an increase in MASLD risk after the TyG index exceeded 8.3. Conclusion In young populations, higher TyG index is associated with an increased risk of MASLD, with distinct patterns observed between sexes. The risk of MASLD rises sharply once the TyG index exceeds 8.3.
bit.ly
bmc.springernature.com
Older adults with type 2 diabetes and a disease duration exceeding ten years have a higher likelihood of exhibiting oral frailty, reports a study published in BMC Geriatrics.
bit.ly/3GEbWFx

#MedSky

Stock Image
bmc.springernature.com
A Review published in the Journal of Translational Medicine highlights the key aspects of spinal cord injury pathophysiology, the fundamental biology of cell treatments, and the advantages and limitations of each approach.

#MedSky
Biomaterials and cell-based therapy post spinal cord injury - Journal of Translational Medicine
Spinal cord injury (SCI) imposes a significant physical, social, and economic burden on millions of patients and their families worldwide. Although medical and surgical care improvements have decreased mortality rates, sustained recovery remains constrained. Cell-based therapies offer a promising strategy for neuroprotection and neuro-regeneration post-SCI. This article reviews the most promising preclinical approaches, encompassing the transplantation of embryonic stem cells (ESCs), mesenchymal stem cells (MSCs), neural stem cells (NSCs), oligodendrocyte progenitor cells (OPCs), Schwann cells (SCs), and olfactory ensheathing cells (OECs), along with the activation of endogenous pluripotency cell banking strategies. We also outline key ancillary strategies to enhance graft cell viability and differentiation, such as trophic factor assistance, engineered biomaterials for supportive scaffolds, and innovative methods for a synergistic effect in treatment, including promoting neuronal regeneration and reducing glial scars. We highlight the key aspects of SCI pathophysiology, the fundamental biology of cell treatments, and the advantages and limitations of each approach. Graphical abstract There are several approaches to treating spinal cord injuries that show great promise: Cellular therapies, which utilize a range of cells such as embryonic, neural, and mesenchymal stem cells, along with astrocytes, Schwann cells, olfactory ensheathing cells, and reprogrammed cells; The use of innovative biomaterials, including hydrogels, collagen, polycaprolactone fibers, and advanced 3D-printing technologies, provides valuable support for tissue repair.
bit.ly
bmc.springernature.com
An article published in the Journal of Translational Medicine presents GeneBits: a method for cancer therapy monitoring and relapse detection.

#MedSky #OncoSky
GeneBits: ultra-sensitive tumour-informed ctDNA monitoring of treatment response and relapse in cancer patients - Journal of Translational Medicine
Background Circulating tumour DNA (ctDNA) in liquid biopsies has emerged as a powerful biomarker in cancer patients. Its relative abundance in cell-free DNA serves as a proxy for the overall tumour burden. Here we present GeneBits, a method for cancer therapy monitoring and relapse detection. GeneBits employs tumour-informed enrichment panels targeting 20–100 somatic single-nucleotide variants (SNVs) in plasma-derived DNA, combined with ultra-deep sequencing and unique molecular barcoding. In conjunction with the newly developed computational method umiVar, GeneBits enables accurate detection of molecular residual disease and early relapse identification. Results To assess the performance of GeneBits and umiVar, we conducted benchmarking experiments using three different commercial cell-free DNA reference standards. These standards were tested with targeted next-generation sequencing (NGS) workflows from both IDT and Twist, allowing us to evaluate the consistency and accuracy of our approach across different oligo-enrichment strategies. GeneBits achieved comparable depth of coverage across all target sites, demonstrating robust performance independent of the enrichment kit used. For duplex reads with ≥ 4x UMI-family size, umiVar achieved exceptionally low error rates, ranging from 7.4×10-7 to 7.5×10-5. Even when including mixed consensus reads (duplex & simplex), error rates remained low, between 6.1×10-6 and 9×10-5. Furthermore, umiVar enabled variant detection at a limit of detection as low as 0.0017%, with no false positive calls in mutation-free reference samples. In a reanalysed melanoma cohort, variant allele frequency kinetics closely mirrored imaging results, confirming the clinical relevance of our method. Conclusion GeneBits and umiVar enable highly accurate therapy and relapse monitoring in plasma as well as identification of molecular residual disease within four weeks of tumour surgery or biopsy. By leveraging small, tumour-informed sequencing panels, GeneBits provides a targeted, cost-effective, and scalable approach for ctDNA-based cancer monitoring. The benchmarking experiments using multiple commercial cell-free DNA reference standards confirmed the high sensitivity and specificity of GeneBits and umiVar, making them valuable tools for precision oncology. UmiVar is available at https://bit.ly/4mX3Ck0 .
bit.ly
bmc.springernature.com
Adherence to a healthy plant-based diet, including vegetables, fruits, whole grains, nuts, and legumes, may be beneficial for breast cancer prevention, mainly in postmenopausal women, finds a study published in the Journal of Health, Population and Nutrition.
bit.ly/3YBXrsj

#MedSky #OncoSky
Stock Image
bmc.springernature.com
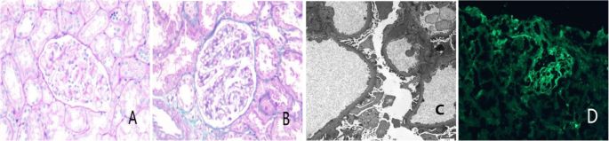
A Case Report published in BMC Pediatrics presents the case of a rare and atypical clinical presentation of pediatric primary Sjögren’s Syndrome, initially manifesting solely as nephrotic syndrome secondary to membranous nephropathy.

#MedSky
Childhood-onset primary Sjögren’s Syndrome presenting as nephrotic syndrome: a case report and literature review - BMC Pediatrics
Background Pediatric primary Sjögren's syndrome typically presents with oral and ocular dryness, along with a broad spectrum of extraglandular manifestations affecting multiple organ systems. Among renal manifestations, tubulointerstitial nephritis is most commonly observed, whereas glomerular involvement is exceedingly rare. Case presentation We report the case of an 8-year-old girl referred for evaluation of persistent foamy urine. Laboratory investigations revealed significant proteinuria and hypoalbuminemia. Kidney biopsy confirmed membranous nephropathy. Further evaluation indicated ocular involvement, evidenced by positive Schirmer's I test and reduced tear film break-up time. A labial salivary gland biopsy demonstrated focal lymphocytic infiltration. The patient was diagnosed with primary Sjögren's syndrome and was treated with corticosteroids and immunosuppressive agents, resulting in a favorable outcome and remission of proteinuria. Conclusions This case underscores the diverse clinical spectrum of primary Sjögren's syndrome and highlights the potential for rare glomerular involvement in children. It emphasizes the need for heightened awareness among pediatric healthcare providers regarding the systemic manifestations of primary Sjögren's syndrome to prevent delayed diagnosis.
bit.ly
bmc.springernature.com
A Review in the Journal of Translational Medicine shows that synbiotics (combinations of probiotics and prebiotics) have significant potential in early Alzheimer’s, by improving cognitive domains, reducing neuroinflammation, and modulating beneficial microbial metabolites.

#MedSky #alzsky
Synbiotics in Alzheimer’s disease: mechanisms, clinical evidence, and therapeutic prospects - Journal of Translational Medicine
Background Growing evidence implicates gut microbiota (GM) dysbiosis in Alzheimer’s disease (AD) pathogenesis via the gut-brain axis. Dysbiosis contributes to neuroinflammation, amyloid-β deposition, tau hyperphosphorylation, blood-brain barrier disruption, and cognitive decline. Synbiotics (combinations of probiotics and prebiotics) offer a promising strategy to modulate GM, potentially ameliorating these AD hallmarks through multiple mechanisms including enhanced production of neuroprotective short-chain fatty acids (SCFAs), reduced inflammation, improved gut barrier integrity, and immunomodulation. Objective This review critically evaluates the current evidence on the therapeutic potential of synbiotics for AD. It aims to synthesize findings from preclinical and clinical studies regarding the efficacy of synbiotics in improving cognitive function and AD pathology, elucidate the underlying biological mechanisms including GM modulation, SCFA production, immune regulation, and gut-brain signaling, and identify key challenges and future research directions for translating GM-targeted interventions into effective AD therapies. Conclusion Synbiotics demonstrate significant potential, particularly in early AD, by improving cognitive domains, reducing neuroinflammation and AD biomarkers, and modulating beneficial microbial metabolites. However, challenges include confounding factors, unresolved questions about causality, inconsistent results in advanced disease, and insufficient large-scale human trials. Future success hinges on rigorous longitudinal randomized controlled trials integrating multi-omics approaches, advanced in vitro models, and personalized strategies considering baseline microbiota and host genetics. While not a standalone cure, synbiotics represent a valuable component within multi-target therapeutic approaches aimed at modulating the gut-brain axis to slow AD progression.
bit.ly
bmc.springernature.com
Sarcopenia is a key factor influencing the occurrence of frailty in lonely elderly individuals in nursing homes, finds a study published in BMC Geriatrics.

#MedSky
The mediating role of sarcopenia in the link between loneliness and frailty among nursing home residents: a cross-sectional study - BMC Geriatrics
Background The present work focused on investigating the frailty status of older nursing home residents by analyzing the relationships among loneliness, sarcopenia, and frailty. The study explored the mediating effect of sarcopenia on loneliness and frailty among elderly individuals. Methods From January to June 2022, 190 elderly individuals were enrolled from four nursing homes in Guangzhou, Dongguan, Zhanjiang, and Nanning using a convenience sampling method. A field survey was conducted using a sociodemographic questionnaire, the Frailty Phenotype, the UCLA Loneliness Scale, and the SARC-F screening tool. The data were analyzed with SPSS 25.0 and Process 4.1 software. Normally distributed continuous variables are presented as the means ± standard deviations (Mean±SD) . Associations among loneliness, sarcopenia, and frailty were assessed via Pearson correlation analysis. Moreover, the mediating effect of sarcopenia on loneliness and frailty was examined via linear regression. The bootstrap method in Process 4.1 was employed to test its mediating effect. Results The frailty prevalence among elderly nursing home residents was 34.74%. The loneliness score was positively related to the frailty score (r = 0.156, P < 0.05, 95% CI:0.014–0.292), the sarcopenia score was positively related to the frailty score (r = 0.512, P < 0.01, 95% CI:0.399–0.610), and the loneliness score was positively related to the sarcopenia score (r = 0.214, P < 0.01, 95%CI:0.074–0.346). Sarcopenia demonstrated a complete mediating effect on loneliness and frailty among elderly nursing home residents. Sarcopenia typically achieved a mediating effect of 0.107 (95% CI: 0.026–0.197), accounting for 68.59% of the overall effect. Conclusions Sarcopenia is a key factor influencing the occurrence of frailty in lonely elderly individuals in nursing homes.
bit.ly
bmc.springernature.com
Tissue Doppler imaging and three-dimensional speckle tracking echocardiography (3D-STE) can identify early biventricular dysfunction in pediatric patients diagnosed with severe bronchial asthma, reports a study in BMC Pediatrics.

#MedSky #STS
Evaluation of biventricular function in asthmatic children with different severity by new echocardiographic modalities - BMC Pediatrics
Background This study aimed to evaluate the impact of asthma severity on biventricular cardiac functions using tissue Doppler imaging (TDI), two-dimensional speckle tracking echocardiography (2D-STE), and three-dimensional speckle tracking echocardiography (3D-STE). Methods Sixty-three children with asthma, aged between 5 and 16 years, were enrolled in the study along with 63 matched controls. All participants underwent cardiac assessments, including TDI, 2D-STE, 3D-STE, conventional echocardiography, and pulmonary function testing with spirometry. Results Sixty-three asthmatic children with a mean age of 9.96 ± 3 years were enrolled in the patient group. Based on the severity of asthma, they s were categorized into three subgroups: mild, moderate, and severe persistent. The TDI examination revealed a significant decline in right ventricular (RV) diastolic and systolic functions, indicated by lower tricuspid E’/A’ ratio and RV S respectively. Additionally, there was a notable increase in both the RV and LV myocardial performance index (MPI) in the severe asthma group compared to other severity subgroups. Children with severe asthma also demonstrated significantly lower values in three-dimensional global longitudinal strain (3D GLS), three-dimensional global circumferential strain (3D GCS), three-dimensional global area strain (3D GAS), and three-dimensional global radial strain (3D GRS) during (3D-STE examination compared to other severity subgroups. However, there was no discernible difference between the severity subgroups when 2D-STE was used. Conclusion TDI and 3D-STE exhibited the ability to identify early biventricular dysfunction in pediatric patients diagnosed with severe bronchial asthma.
bit.ly
bmc.springernature.com
A recent study in BMC Neuroscience highlights the putative therapeutic synergy of Valproate-vitamin E co-treatments in epilepsy and neurotoxicity management.

#MedSky
Valproate-vitamin E co-treatment preserved cortico-callosal white matter integrities in cypermethrin co-exposed pentylene tetrazole induced seizure - BMC Neuroscience
Background Epilepsy is characterized by recurrent seizures and neurological consequences, which may be associated with impaired myelin and glial integrity, and exacerbated by environmental neurotoxicants. Environmental neurotoxicants, such as Cypermethrin (CPM), may heighten these impairments, worsening seizure outcomes. This study investigates the effects of Cypermethrin (CPM) on Pentylenetetrazole (PTZ)-induced seizures and the Vitamin E (Vit E) and valproate (VAP) co-interventions on myelin and glial integrity. Methods Histochemical and immunohistochemical analyses for hematoxylin and eosin (H&E), myelin basic protein (MBP), ionized calcium-binding adaptor molecule 1 (IBA1), glial fibrillary acidic protein (GFAP), and oligodendrocyte transcription factor 2 (OLIG-2) were conducted on cerebral white matter and corpus callosum tissues. The density of stained cells and immunoreactivity obtained with ImageJ was subjected to one-way analysis of variance. Results Immunohistochemistry revealed that cypermethrin exposure in PTZ-induced seizure rats led to marked neuronal, oligodendroglial, and myelin loss, accompanied by substantial glial activation in both cerebral white matter and corpus callosum. Interventional ingestions of VAP and Vit E, especially when combined, substantially reduced both microglial activation and reactive astrogliosis, thereby consequently preventing oligodendrocyte and neuronal loss, thus preserving both cerebral white matter and callosal myelin. Conclusions These findings highlight the potential of pyrethroid insecticides to exacerbate the neurological consequences of epilepsy, specifically causing myelin damage via glial activation. Also, the putative therapeutic synergy of antioxidant supplementation in epilepsy and neurotoxicity management was obvious.
bit.ly
bmc.springernature.com
A study in BMC Pediatrics finds that COVID-19 causes prolonged disruptions to sleep architecture in infants and toddlers, with effects persisting beyond the acute infection phase and being moderated by environmental factors.

#MedSky
Impact of COVID-19 infection on the sleep of infants and toddlers - BMC Pediatrics
Background Following the termination of China’s dynamic zero-COVID policy on December 7, 2022, a substantial rise in COVID-19 infections among infants and toddlers was observed. Clinical practice revealed that many infected infants and toddlers subsequently developed sleep-wake disturbances. However, research on this specific population remains limited. Objectives This study aimed to examine the impact of COVID-19 infection on sleep patterns in infants and toddlers to inform clinical practice and management strategies. Methods We conducted a prospective study of children aged 0–35 months, including COVID-19-positive patients from the pediatric respiratory department and age-matched healthy controls from child healthcare department between January 1 and December 31, 2023. Parents completed the Brief Infant Sleep Questionnaire and a demographic questionnaire at baseline, with follow-up assessments conducted over six months. Results COVID-19 infection significantly affected multiple sleep parameters: nighttime sleep duration, daytime sleep duration, nighttime awakening duration, sleep latency and bedtime. Nighttime awakening duration was the most significantly affected sleep parameter, with persistent disturbances lasting up to 6 months post-COVID infection without returning to baseline levels. Age ≥ 12 months was a protective factor against night waking, sleeping while feeding and screen time ≥ 1 h were independent risk factors for night waking. Conclusion Our findings demonstrate that COVID-19 infection causes significant and prolonged disruptions to sleep architecture in infants and toddlers, with these effects persisting beyond the acute infection phase and being moderated by specific environmental factors, highlighting the need for routine sleep assessments in pediatric COVID-19 patients, targeted parental education on modifiable risk factors, and the development of interventions to mitigate sleep disturbances during future public health emergencies.
bit.ly
bmc.springernature.com
A study published in the Biology of Sex Differences highlights the differences in the regulation of the X chromosome in different cell types and gives insights into the regulation of the X chromosome in SLE female patients.

#MedSky #Epigenetics
X-linked transcriptome dysregulation across immune cells in systemic lupus erythematosus - Biology of Sex Differences
Background Systemic lupus erythematosus (SLE) is a complex immune-mediated disease with a strong female predominance. This sex bias may be linked to the presence of two X chromosomes, which are not always adequately dosage compensated by X chromosome inactivation (XCI). Disruption in X-linked transcriptome expression may contribute to altered immune function and increased susceptibility to autoimmunity. Methods To investigate the role of X-linked gene expression in SLE, we performed a comprehensive transcriptome analysis of 27 immune cell types from 125 female SLE patients and 66 healthy controls. We further applied a multivariate approach to integrate X-linked gene expression across all immune cell types and classify SLE patients. Additionally, we extended these models to other chromosomes and explored the correlation between autosome disease markers, including members of the XIST-interactome, and X-linked expression. Results We observed a significant increase in X-linked gene expression in T cells, B cells and plasmablasts, while monocytes and plasmacytoid dendritic cells exhibited the opposite trend. Multivariate models based solely on X-linked expression were highly accurate and highlighted key disease-associated markers. Interestingly, autosome-based models relied on markers highly correlated with X-linked gene expression and components of the XIST-interactome, which regulates XCI. Notably, we found that XIST lncRNA was consistently downregulated across multiple cell types, particularly in monocytes and Th1 cells. Such downregulation correlated with increased expression of SLE-associated genes, interferon signalling, and epigenetic regulators like KMT2D. Further analysis revealed extensive dysregulation of the XIST-interactome in SLE, predicting X-linked transcriptome alterations in a cell-type-specific manner. Conclusions Here, we present a comprehensive analysis of X-linked gene expression across immune cells in SLE. Our study highlights the complexity of X-linked transcriptional changes, with distinct patterns observed across both innate and adaptive immune cell types. These findings offer novel insights into the role of the X-transcriptome in sex-biased autoimmune susceptibility and may support future efforts to identify molecular targets relevant to SLE pathogenesis.
bit.ly
bmc.springernature.com
A study in BMC Psychology finds that among Australian adults, older age and higher BMI are positively associated with increased odds of obstructive sleep apnoea (OSA), while binge-eating frequency, sex, and education level are not significantly associated with OSA diagnosis.

#MedSky #PsychSciSky

Clinical and psychological predictors of obstructive sleep apnoea in an Australian adult population with severe and complex obesity - BMC Psychology
Background Obstructive sleep apnoea (OSA) is the most prevalent sleep-related breathing disorder in the general population, with markedly higher rates among individuals with obesity. This elevated prevalence underscores the importance of examining the various risk factors which contribute to increased rates. The current study investigated predictors of receiving a diagnosis of OSA among treatment-seeking individuals with a range of binge-eating frequencies attending a public hospital weight intervention clinic in Western Sydney, Australia. Methods Participants (N = 110) were comprised of adults (> 18 years old) seeking weight management treatment at a tertiary level service at Blacktown Hospital, with an average BMI of 51.1 (SD =  10.9) and average age of 46.6 years old (SD = 12.5). Eligible participants completed a series of self-report questionnaires that gathered information on demographics, including age, sex, and education level, as well as body mass index (BMI) and binge-eating frequency. Results Our results revealed that older age and higher BMI were significantly associated with increased odds of receiving an OSA diagnosis, while binge-eating frequency, sex, and education level did not significantly predict OSA diagnosis in this sample. Importantly, BMI significantly predicted OSA diagnosis only when binge-eating frequency was excluded from the model, suggesting a potential shared variance. Conclusion This study contributes to the existing literature by reinforcing the association between older age, higher BMI, and increased odds of receiving an OSA diagnosis in a medically complex obesity sample. It also emphasises the importance of routinely screening for OSA risk factors, particularly in those presenting with high BMI and older age, which may contribute to early detection, early intervention, and improved outcomes.
bit.ly
bmc.springernature.com
A systematic review published in the Journal of Eating Disorders highlights that people with type 2 diabetes experience eating disorders, specifically binge-eating disorders and night eating syndrome. Further research is warranted.

#MedSky
Prevalence and associated factors of eating disorders in adults with type 2 diabetes: a systematic review - Journal of Eating Disorders
Background People with type 2 diabetes (T2DM) have a higher risk of eating disorders, specifically binge eating disorders (BED) and night eating syndrome (NES) which may affect the diabetes management and long-term outcomes of T2DM. There is limited evidence to determine the prevalence and associated factors of this condition for targeted interventions. Our study aimed to systematically synthesise existing evidence exploring the prevalence of eating disorders and associated factors among adults with T2DM. Methods This review was pre-registered with PROSPERO (CRD42024587276). A systematic review was undertaken searching Embase, Medline, PsycINFO, Cochrane Central database. The National Institutes of Health Quality Assessment tool for Observational Cohort and Cross-Sectional Studies was used to evaluate the quality of eligible studies. Given the insufficient number of studies assessing the targeted outcomes, a meta-analysis was not attempted. A narrative synthesis was conducted. Results Twelve studies were included with cross-sectional studies. BED and NES were the two most common eating disorders in people with T2DM. Point prevalence was 2.5–29.6% for BED and 1.6–8.4% for NES. No data were available on the prevalence of bulimia and anorexia nervosa. Having eating disorders in T2DM was associated with a low level of psychological well-being, greater depression, anxiety symptoms, and high levels of BMI and HbA1c. Conclusion There are psychological, physical and social factors associated with to high prevalence of eating disorders in T2DM. The current literature on eating disorders in T2DM is relatively limited, with few studies applying rigorous methods. Further studies are needed for large, high-quality studies that focus on the management, diagnosis, physical and psychosocial effects, and long-term outcomes of eating disorders in adults with T2DM.
bit.ly
bmc.springernature.com
Intake of total sugars, free sugar, and sucrose is positively associated with psoriasis risk, while fiber and starch are inversely associated with developing psoriasis, finds a study in the Nutrition Journal.

#MedSky
Association between carbohydrate intake and the risk of psoriasis: a prospective cohort study based on UK Biobank - Nutrition Journal
Background Research on the association between carbohydrate intake and psoriasis risk is limited. We aimed to examine the associations of carbohydrate and its different subtypes with psoriasis risk, as well as the interaction between genetic predisposition and carbohydrate intake. Methods We performed a prospective cohort study based on UK Biobank that included 210,474 participants who did not have psoriasis at baseline. A 24-hour dietary assessment tool was used to assess detailed dietary intake information. Incident psoriasis events were identified through hospitalization records. The association between carbohydrate intake and psoriasis was examined by Cox proportional hazard regression models. Multiplicative interaction between genetic risk and carbohydrate intake was assessed by incorporating a cross-product term in the model. Results A total of 1907 incident psoriasis events were recorded during the follow-up period (median: 13.25 years). Compared to the lowest intake quartile (Q1), the highest intake quartile (Q4) of total sugars [HR (95% CI) = 1.14 (1.01–1.29), FDR-Ptrend = 0.116], free sugars [1.22 (1.07–1.38), 0.021], and sucrose [1.14 (1.01–1.30), 0.058] was associated with an increased psoriasis risk. In contrast, the highest intake of starch [0.86 (0.76–0.98), 0.049] and fiber [0.84 (0.74–0.96), 0.021] showed an inverse association with psoriasis risk. However, there was no statistically significant interaction between carbohydrate intake and genetic risk. Conclusion Intake of total sugars, free sugar, and sucrose was positively associated with psoriasis risk, while fiber and starch were inversely associated.
bit.ly
bmc.springernature.com
An article published in BMC Genomics presents MitoDelta: a computational pipeline that enables the detection of mitochondrial DNA deletions at cell-type resolution solely from single-cell RNA sequencing data.

#MedSky #Epigenetics
MitoDelta: identifying mitochondrial DNA deletions at cell-type resolution from single-cell RNA sequencing data - BMC Genomics
Background Deletion variants in mitochondrial DNA (mtDNA) are associated with various diseases, such as mitochondrial disorders and neurodegenerative diseases. Traditionally, mtDNA deletions have been studied using bulk DNA sequencing, but bulk methods average signals across cells, thereby masking the cell-type-specific mutational landscapes. Resolving mtDNA deletions at single-cell resolution is beneficial for understanding how these mutations affect distinct cell populations. To date, no specialized method exists for detecting cell-type-specific mtDNA deletions from single-cell RNA sequencing data. Notably, mtDNA possesses unique molecular features: a high copy number, stable transcription, and compact structure of the mitochondrial genome. This results in a relatively high abundance of mtDNA-derived reads even in single-cell RNA sequencing data, suggesting the possibility of detecting mtDNA deletion variants directly from transcriptomic data. Results Here, we present MitoDelta, a computational pipeline that enables the detection of mtDNA deletions at cell-type resolution solely from single-cell RNA sequencing data. MitoDelta combines a sensitive alignment strategy with robust statistical filtering based on a beta-binomial distribution model, allowing accurate identification of deletion events even from noisy single-cell transcriptomes. To capture cell-type-specific deletion patterns, MitoDelta analyzes reads pooled by annotated cell types, enabling quantification of deletion burden across distinct cellular populations. We benchmarked MitoDelta against existing mtDNA deletion detection tools and demonstrated superior overall performance. As a practical application, we applied MitoDelta to a published single-nucleus RNA sequencing dataset for Parkinson’s disease and revealed distinct mtDNA deletion burdens across neuronal subtypes. Conclusions MitoDelta enables the transcriptome-integrated, cell-type-specific detection of mtDNA deletions from single-cell RNA sequencing data alone, offering a valuable framework for reanalyzing public datasets and studying mitochondrial genome alterations at cell-type resolution. This integrated approach enables insights into how mtDNA deletions are distributed across specific cell types and cellular states, providing new opportunities to investigate the role of mtDNA deletions in cell-type-specific disease mechanisms. The tool is available at https://bit.ly/3KqqquQ .
bit.ly
bmc.springernature.com
A Review in the Journal of Ovarian Research discusses context-dependent roles of autophagy in ovarian physiology and disorders, and proposes autophagy-based interventions as therapeutic strategies for addressing ovarian dysfunctions.

#MedSky
Autophagy in ovary: protective roles, pathological consequences, and unresolved issues - Journal of Ovarian Research
The ovaries play essential roles in providing oocytes for fertilization and secreting sex hormones that regulate various organ functions. Autophagy has been implicated in the modulation of ovarian functions, yet its mechanisms of action are complex and context-dependent. Within the ovary, autophagy fulfills a dual function, serving as a critical mechanism in facilitating oocyte development, maintaining granulosa cell viability, regulating hormone synthesis, ovulation and luteal function. Conversely, dysregulation of autophagy can interact with other death signals, leading to cell death of ovarian cells, and has been linked to the development of diminished ovarian reserve (DOR), premature ovarian insufficiency (POI) and polycystic ovary syndrome (PCOS). Emerging evidence suggests that pharmacological modulation of autophagy exerts significant therapeutic effects on POI and PCOS. Despite this association, numerous unresolved issues persist in this field of research. This paper provides a comprehensive overview of the context-dependent roles of autophagy in ovarian physiology and disorders, and proposes potential applications of autophagy-based interventions as therapeutic strategies for addressing ovarian dysfunctions.
bit.ly
bmc.springernature.com
A study published in BMC Infectious Diseases finds that COVID-19 has a negative impact on the long-term outcomes of patients with lung cancer who receive immune checkpoint inhibitors, particularly if the infection occurs during the first 3 months of the treatment.

#MedSky #OncoSky
Long-term impact of COVID-19 in patients with lung cancer receiving immune checkpoint inhibitors: a multicenter cohort study during Omicron pandemic - BMC Infectious Diseases
Background The long-term impact of COVID-19 on cancer patients receiving immune checkpoint inhibitors (ICIs) remained unknown. This study aimed to investigate the association between COVID-19 and long-term outcomes in ICIs-treated lung cancer patients. Methods Three hundred eighty-one patients with advanced lung cancer who were treated with ICIs were enrolled and followed for at least 6 months in 10 medical centers in China during Omicron pandemic. The primary endpoints were overall survival (OS) and progression-free survival (PFS). Cox model with time-dependent covariate and landmark analysis were used. Results The multivariable analysis showed that patients with COVID-19 had significantly worse OS (HR: 2.59 [1.58–4.26], P < 0.001) and PFS (HR: 1.55 [1.02–2.35], P < 0.001). In landmark analyses, COVID-19 that occurred within 3 months after initiation of ICIs was found to be associated with shorter OS (HR: 3.40 [1.70–6.77], P = 0.001) and PFS (HR: 3.40 [1.70–6.77], P = 0.02). In subgroup analysis, both mild and severe COVID-19 were associated with shorter OS (mild, HR: 2.39 [1.33–4.29], P = 0.004; severe, HR 4.46 [2.39–8.33], P < 0.002) and PFS (mild, HR 1.71 [1.05–2.78], P = 0.03; severe, HR 3.32 [1.97–5.60], P < 0.002). Additionally, there were no significant differences in OS or PFS among patients with varying treatment delays. Conclusions COVID-19 had a negative impact on the long-term outcomes of patients with lung cancer who received ICIs, particularly if the infection occurred during the first 3 months of ICIs treatment. These findings are crucial for addressing the COVID-19 epidemic and other respiratory infectious diseases.
bit.ly