Cub🐌
@cub125maimai.bsky.social
TwitterがXになってから、スパムからのイイネとフォロー爆とインプレゾンビとクソリプが増えて、それが萎えて疲れて、こちらにちょくちょく来ます。
ツーリング、食べ歩き、銭湯・温泉巡り、モンハンとSkyと、どう森、たまにピクニックやってます。
最近は疲労で引きこもり気味。
ツーリング、食べ歩き、銭湯・温泉巡り、モンハンとSkyと、どう森、たまにピクニックやってます。
最近は疲労で引きこもり気味。
相談者や被害者に責任があると言い出す奴、いじめを庇護する人が言う、お約束のセリフだと思う。
実は環境を悪くしている腹黒黒幕的な。
実は環境を悪くしている腹黒黒幕的な。
April 17, 2024 at 4:35 PM
相談者や被害者に責任があると言い出す奴、いじめを庇護する人が言う、お約束のセリフだと思う。
実は環境を悪くしている腹黒黒幕的な。
実は環境を悪くしている腹黒黒幕的な。
初めて同年代とSkyで出会って、幸せを噛み締めていたら、こんなに時間が過ぎていた。
人生に結婚は必要か不必要かは人それぞれとか、一定の年齢になると、目や関節や生理や三半規管など、色々な体の不調がでる話とか、Sky続けるコツ(といっても、今まで掛けたお金が勿体ないだけでやめていないだけ)とか話した。
楽しかった!
人生に結婚は必要か不必要かは人それぞれとか、一定の年齢になると、目や関節や生理や三半規管など、色々な体の不調がでる話とか、Sky続けるコツ(といっても、今まで掛けたお金が勿体ないだけでやめていないだけ)とか話した。
楽しかった!
March 25, 2024 at 6:27 PM
初めて同年代とSkyで出会って、幸せを噛み締めていたら、こんなに時間が過ぎていた。
人生に結婚は必要か不必要かは人それぞれとか、一定の年齢になると、目や関節や生理や三半規管など、色々な体の不調がでる話とか、Sky続けるコツ(といっても、今まで掛けたお金が勿体ないだけでやめていないだけ)とか話した。
楽しかった!
人生に結婚は必要か不必要かは人それぞれとか、一定の年齢になると、目や関節や生理や三半規管など、色々な体の不調がでる話とか、Sky続けるコツ(といっても、今まで掛けたお金が勿体ないだけでやめていないだけ)とか話した。
楽しかった!
今朝、ストーカーに追われて殺される夢と、乳歯が抜ける夢を見た。
検索したら、こういう結果らしい。
検索したら、こういう結果らしい。
February 27, 2024 at 5:45 PM
今朝、ストーカーに追われて殺される夢と、乳歯が抜ける夢を見た。
検索したら、こういう結果らしい。
検索したら、こういう結果らしい。
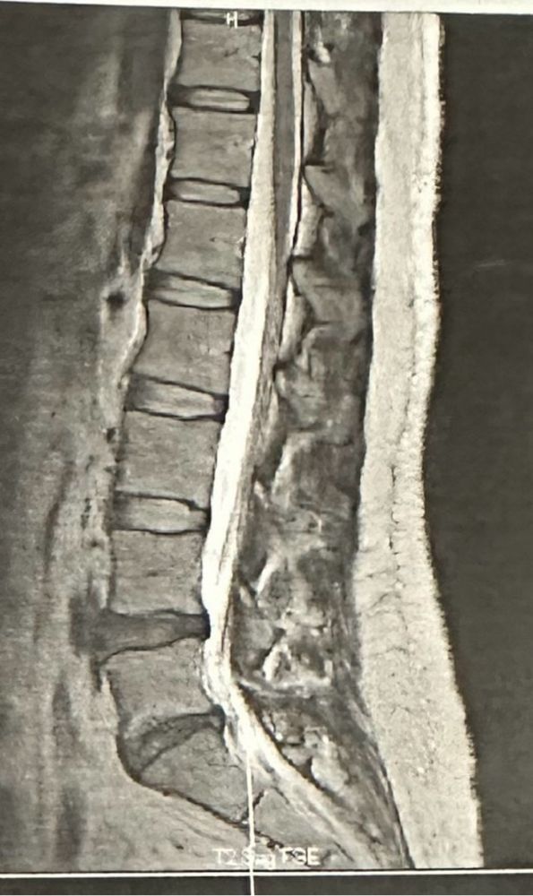
腰と足の付け根と太腿の痛み、とりあえず目立つ髄液のはみ出し方をしていなかったので、髄液が圧迫している神経に麻酔打って様子見になった。
麻酔はレントゲンとMRI合わせて、保険適用で一万ちょっと。
髄液が完全にはみ出したら、軽度ならヘルニコア、中度以上かヘルニコア使用済みなら手術になるけれど、ヘルニアは7万ぐらい、髄液を切り取る手術は十何万かかるから、財布に痛い。
麻酔はレントゲンとMRI合わせて、保険適用で一万ちょっと。
髄液が完全にはみ出したら、軽度ならヘルニコア、中度以上かヘルニコア使用済みなら手術になるけれど、ヘルニアは7万ぐらい、髄液を切り取る手術は十何万かかるから、財布に痛い。
February 24, 2024 at 6:35 PM
腰と足の付け根と太腿の痛み、とりあえず目立つ髄液のはみ出し方をしていなかったので、髄液が圧迫している神経に麻酔打って様子見になった。
麻酔はレントゲンとMRI合わせて、保険適用で一万ちょっと。
髄液が完全にはみ出したら、軽度ならヘルニコア、中度以上かヘルニコア使用済みなら手術になるけれど、ヘルニアは7万ぐらい、髄液を切り取る手術は十何万かかるから、財布に痛い。
麻酔はレントゲンとMRI合わせて、保険適用で一万ちょっと。
髄液が完全にはみ出したら、軽度ならヘルニコア、中度以上かヘルニコア使用済みなら手術になるけれど、ヘルニアは7万ぐらい、髄液を切り取る手術は十何万かかるから、財布に痛い。
この景色だと、BGMがゆっくりしたピアノに変わる。
February 22, 2024 at 6:41 PM
この景色だと、BGMがゆっくりしたピアノに変わる。
冷やしていたせいか、香りがあまり感じられず…。
ガーナのアールグレイトリュフチョコの方が香りが強く感じられた。
ガーナのアールグレイトリュフチョコの方が香りが強く感じられた。
February 14, 2024 at 5:11 PM
冷やしていたせいか、香りがあまり感じられず…。
ガーナのアールグレイトリュフチョコの方が香りが強く感じられた。
ガーナのアールグレイトリュフチョコの方が香りが強く感じられた。
自分用チョコレート
アフタヌーンティーの紅茶チョコレート
アフタヌーンティーの紅茶チョコレート
February 13, 2024 at 7:29 AM
自分用チョコレート
アフタヌーンティーの紅茶チョコレート
アフタヌーンティーの紅茶チョコレート
14日指定できなくて、15日以降しか指定できなかったから、なる早でお願いしたら届いちゃった。
ハンドクリーム、良い匂いする。
バームは使わないと匂いがあまり分からないけれど、良いデザイン。
チョコは14日までとっておく。
ハンドクリーム、良い匂いする。
バームは使わないと匂いがあまり分からないけれど、良いデザイン。
チョコは14日までとっておく。
February 9, 2024 at 6:20 AM
14日指定できなくて、15日以降しか指定できなかったから、なる早でお願いしたら届いちゃった。
ハンドクリーム、良い匂いする。
バームは使わないと匂いがあまり分からないけれど、良いデザイン。
チョコは14日までとっておく。
ハンドクリーム、良い匂いする。
バームは使わないと匂いがあまり分からないけれど、良いデザイン。
チョコは14日までとっておく。