Dylan Duerre
@dylanduerre.bsky.social
32 followers 27 following 16 posts
PhD candidate in the Galmozzi Lab at UW-Madison. 🔬 scientist 🧬, 🏔️ wilderness advocate 🌲, 🥅 hockey fan 🏒.
Posts Media Videos Starter Packs
dylanduerre.bsky.social
I am excited to share that one week from today, I will defend my doctoral thesis and complete my PhD training at UW-Madison.

This presentation will be public and is designed to be accessible to everyone. If you are interested in attending, reach out and I will send a Zoom link!
Reposted by Dylan Duerre
andreagalmozzi.bsky.social
Proud to share the work of my forst ever PhD student and first author of this paper @dylanduerre.bsky.social!! Here, he summarizes it perfectly! #brownfat #metabolism #BCAA #heme @uwmadison.bsky.social @uofutahcihd.bsky.social
dylanduerre.bsky.social
Huge thank you to my amazing PhD advisor @andreagalmozzi.bsky.social, my lab mates, and our wonderful collaborators across #UWMadison and the #UniversityofUtah. Grateful for support from my graduate program (CMB), UW SMPH, and our T32 Biology of Aging Fellowship program. (15/15)
dylanduerre.bsky.social
7-Heme synthesis regulates BCAA clearance in a sex-dependent manner.

In female (but not male) mice, deleting heme synthesis gene Alas1 in brown fat impairs BCAA clearance capacity, a metabolic feature commonly observed in patients with obesity and insulin resistance. (13/15)
dylanduerre.bsky.social
6-Impaired BCAA metabolism blocks UCP1 expression.

Without active heme synthesis, BCAA breakdown is reduced, as alternative routes (I.e. TCA cycle) are insufficient to clear them. As a result, propionyl-CoA accumulates and inhibits UCP1 expression via epigenetic remodeling. (12/15)
dylanduerre.bsky.social
5- The BCAA-Heme metabolon is dynamic and inducible.

The formation of this metabolon—containing heme synthesis enzyme ALAS1 and propionyl-CoA converting enzyme PCCA—readily forms upon increased heme demand and in response to adrenergic stimulation. (11/15)
dylanduerre.bsky.social
4- Heme synthesis and BCAA metabolism are intentionally coordinated.

In brown fat, heme production facilitates branched chain amino acid (BCAA) breakdown by forming a metabolon—a protein complex that efficiently channels BCAA-derived carbons directly into heme synthesis. (10/15)
dylanduerre.bsky.social
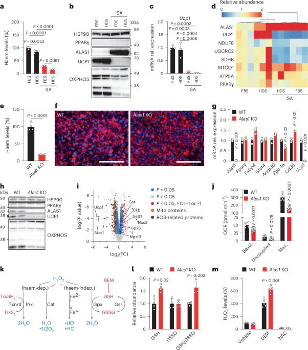
3-Heme synthesis does more than fulfill heme supply.

While supplementing heme restores mitochondrial function in brown fat cells, it fails to restore UCP1 expression. This suggests that active heme synthesis (I.e. consuming heme precursors) is necessary for thermogenic gene activation (9/15).
dylanduerre.bsky.social
2-Heme is essential for brown fat function.

Disrupting heme synthesis impairs mitochondrial function, lowers energy expenditure, alters the oxidative stress response, and suppresses UCP1 expression. Altogether, active heme synthesis is required for thermogenic capacity. (8/15)
dylanduerre.bsky.social
1-Fat cells primarily make their own heme.

Instead of importing, fat cells rely on internal heme synthesis to meet demands. Blocking heme synthesis reduces intracellular heme levels by more than 60%, and strips the mitochondria of their characteristic rust-brown color. (7/15)
dylanduerre.bsky.social
Mitochondrial biogenesis, of which brown fat relies on to maintain functionality, requires a stable heme supply. This sourcing can come via internal production (synthesis), or external capture (import). We set out to ID which is more important for heme sourcing. Here are the key findings: (6/15)
dylanduerre.bsky.social
Central to this process is uncoupling protein 1 (UCP1), specifically expressed in brown fat. UCP1 expression in fat has been identified as an “aging rate indicator” by the NIA’s ITP. As such, it has garnered attention as a potential novel therapeutic target. Will come back to UCP1 later. (5/15)
dylanduerre.bsky.social
Metabolism is central to the function of brown fat. Harboring unique metabolic machinery, brown fat is capable, under specific circumstances, of “burning” substrates for heat production (thermogenesis) rather than ATP synthesis via mitochondrial uncoupling. (4/15)
dylanduerre.bsky.social
Why study heme in brown fat? It turns out that the “rust brown” color of the depot is attributable to the high content of heme-rich mitochondria. While best known for its role in oxygen transport (via hemoglobin), heme catalyzes redox reactions and is essential for mitochondrial metabolism. (3/15)
dylanduerre.bsky.social
This work started with a very basic biology question: how do fat cells acquire heme, a key cofactor for mitochondrial metabolism and redox biology? Despite the answer being straight forward, associated observations opened up a can of worms. But first, some background. (2/15)