European Society of Cardiology
@escardio.bsky.social
2.6K followers 43 following 260 posts
Posts Media Videos Starter Packs
Pinned
escardio.bsky.social
The #EAPCI26 Summit is a gathering of leaders and rising talents in interventional cardiology and related specialties. The call for science is now open! Submit your work and be among the first to influence practice.

📅 Abstracts - 16 October | Clinical cases - 23 October bit.ly/4peXrd7

#EAPCI
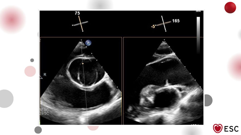
escardio.bsky.social
#ImageOfTheWeek by Anish Adhikari and Caleb Wutawunashe from Lenox Hill Hospital, New York, New York, USA.

What aortic valve abnormality is shown on TEE? ow.ly/2tAt50X4WJg

#cardioed
escardio.bsky.social
Celebrating Excellence: ESC Journals Reviewers of the Year

Proud to honour our 2024 ESC Journals Reviewers of the Year.

👏 Their dedication ensures the quality & integrity of the ESC Journal Family and advances cardiovascular science.

Meet them here 👉 ow.ly/UgKO50X4ajp
escardio.bsky.social
New #ESCCardioTalk episode

🎙️ Residual CV risk beyond LDL cholesterol: inflammation, remnant cholesterol, & lipoprotein(a) w/ Borge Nordestgaard & Anders Berg Wulff

Explore how factors beyond LDL-C—such as inflammation, remnant cholesterol, & Lp(a)—contribute to residual CV risk
bit.ly/4gO6spJ
escardio.bsky.social
How to optimize drug therapy in patients living w/ chronic coronary syndrome?

Robert Storey discusses strategies for the choice of anti-anginal, use of lipid lowering treatment, antiplatelet drugs & beta-blockers. A must-see topic on #ESCTVToday ow.ly/GqXR50X46SN

#ChronicCoronarySyndrome #ESC365
escardio.bsky.social
Today on #WorldHeartDay, we say: “Don’t miss a beat.” ❤️

Our #ESCPatientForum needs voices from Eastern & Southern Europe. Encourage patients to join: ow.ly/qsLL50X3qn3

Every voice counts. Every beat matters.
escardio.bsky.social
❤️ Don’t miss a beat! ❤️

How many times will your heart beat in your life? Make each one count!

Join us this #WorldHeartDay to raise awareness, inspire action, and celebrate heart health.

ESC President Thomas F. Lüscher shares a special message.

✍️ Sign the global petition: ow.ly/E0uV50X3kv5
escardio.bsky.social
Today is #WorldHeartDay ❤️ Every heartbeat matters.

At ESC, we work to reduce the global burden of cardiovascular disease through awareness, science & healthy hearts. 💪🫀

Take care of your heart & inspire others—together we can build a healthier future.

#DontMissABeat
escardio.bsky.social
CVD is the leading cause of non-obstetric maternal death worldwide-posing major risks for mother & baby.

Check out this month’s FOCUS for expert insights & practical guidance: bit.ly/46nWG9f

#ESCGuidelines #CVD #pregnancy
escardio.bsky.social
The latest #ESCTVToday episodes are FREE to watch - only until 25 September! 👉 ow.ly/k2Fc50WXt5J

Hot topics: smartwatch ECG, Afib, stroke, obesity, cardiomyopathy, ICDs, digital health & more.

✨ New episode drops Thu 25 Sept!

#cardiology #ESCTV #CVD
escardio.bsky.social
💡Every breakthrough begins with a bright idea! Abstract & clinical case submissions for #EHRA26 are now open

Showcase your work on a global stage, spark conversations and illuminate the future of arrhythmia care 👉 bit.ly/42s0DZ4

📅 Abstract deadline: 13 Nov I Clinical case: 25 Nov

#EHRA_ESC
escardio.bsky.social
Be part of #ACVC26 the congress defining acute CV care.

Connect, debate & present your work to gain global recognition and visibility.

📝 Scientific submissions now open:
Deadlines: Abstracts 30 October, cases 6 November
bit.ly/4mYza9G

📅 20-21 March 2026, Lisbon

#ACVC_ESC #cvacute
escardio.bsky.social
🖤 Your journey to the future of cardiology starts at the #ESCAIsummit2025 in Berlin! ❤️

Unlock access to the digital solutions transforming CV care – and save with early fees by registering before 22 September 👉 bit.ly/4mYxw80

#ESCDigital #CardiologyInnovation #DigitalHealth #AIinHealthcare
escardio.bsky.social
Save the Date!
09–10 October 2025
Hamburg, Germany
Join us in person for the #EAPCI Educational Pathway – Level 2: Coronary Track, a 2-day intensive course designed to elevate your expertise in coronary interventions esc365.escardio.org/event/2084

#CoronaryInterventions #CardioEducation
escardio.bsky.social
#WednesdayRead

Myocarditis after COVID-19, sepsis-induced cardiomyopathy, and haemodynamic assessment of heart failure: focus on the myocardium bit.ly/46uwdI6

#EHJ
escardio.bsky.social
The #EAPCI26 Summit is a gathering of leaders and rising talents in interventional cardiology and related specialties. The call for science is now open! Submit your work and be among the first to influence practice.

📅 Abstracts - 16 October | Clinical cases - 23 October bit.ly/4peXrd7

#EAPCI
escardio.bsky.social
Cardiovascular imaging keeps advancing. At #EACVI2025, gain insights across all modalities & apply them directly to patient care.

Join us in Vienna, where innovation meets clinical impact bit.ly/3JSfrKf

📆 11–13 December

#EACVI #cvimaging
escardio.bsky.social
The #ESCAISummit2025 isn’t just imagining the future of CV care—it’s building it 🚀 Join global leaders in Berlin, 21–22 Nov, for digital breakthroughs that elevate patient outcomes.

Register by 22 Sept 👉 bit.ly/3JN7CWo

#ESCDigital #AIinHealthcare #AiinMedicine #DigitalHealth #HealthTech
Reposted by European Society of Cardiology
womenasone.bsky.social
📸 Take a look at all the action on stage and behind the scenes at RISE @ ESC Congress 2025 and download the images from the event for your own use here: www.flickr.com/gp/203424784...

#LetsRISE2025 #ESCCongress #WCCardio #WomenInCardiology #CardioSky @escardio.bsky.social @worldheart.org
Reposted by European Society of Cardiology
edinacenko.bsky.social
💔 Equity in CV health isn’t optional-it’s the future!

At #ESCCongress 2025, The Lancet Regional Health – Europe unveiled our Series on CVD Inequities, chaired by Raffaele Bugiardini with @drmarthagulati.bsky.social & Chris Gale

👉 tinyurl.com/2s6mczy3

@lancetrh-europe.bsky.social @thelancet.com
Reposted by European Society of Cardiology
chillslincoln79.bsky.social
Fantastic end to a few days away at European Society of Cardiology , in sunny Madrid #ESCcongress with an amazing team & opportunity to hear about all the latest developments.👩‍🔬🥼🧪 #cardiovascular #cardiovasculardisease #WomenInSTEM #inflammation #cardioSky #NephroSky
Reposted by European Society of Cardiology
womenasone.bsky.social
RISE @ ESC Congress 2025 Program Director Dr. Liesl Zuhlke inspires us to continue to crack even more ceilings together! #MondayMotivation

#LetsRISE2025 #ESCCongress #WCCardio #CardoSky @escardio.bsky.social @worldheart.org
A quote from RISE 2025 Program Director Dr. Liesl Zühlke, Paediatric Cardiologist, Red Cross Children’s Hospital, Cape Town, South Africa: "We don't want to always moan about the fact that 40% is not good enough. We know that. We still have to fix that. But what we need to do is move forward in terms of opportunities, of ways of building the rungs in the ladder, of cracking even more ceilings, and making sure that we don't allow for people to be left behind."
Reposted by European Society of Cardiology
anastasiasmihaili.bsky.social
great #science delivered at @escardio.bsky.social #ESCCongress #WCCardiol & look fwd to catching up!

🙏 Scientific Cttee for a 💥 program & #gratitude for inviting me to be part of #Science #Communication vibrant ⭐️ team

Reuniting with friends & meet new ones🙏

@laviniaesc.bsky.social
Reposted by European Society of Cardiology
womenasone.bsky.social
At #LetsRISE2025, we witnessed the power of women in cardiology coming together to lead, inspire, and shape the future.

💫 Relive the moments that remind us why we rise.

#ESCCongress #WCCardio #CardioSky #WIC
@escardio.bsky.social @worldheart.org
Reposted by European Society of Cardiology
jmaltstidl.bsky.social
@fau.de study on STEMI puncture-wire times just presented at #ESCCongress by @mguenesaltan.bsky.social
👉 crossover radial to femoral ↔️ longer PWT
👉 immediate ICA of culprit ↔️ shorter PWT
👉 improve PWT by pref. femoral access & no visualization of other vessels
🔗 esc365.escardio.org/presentation...
Reposted by European Society of Cardiology
womenasone.bsky.social
🧡 Thank you for joining the conversation at RISE 2025.

It doesn’t stop here.

Let’s keep championing gender equity & advancing women in cardiology leadership. Because together we can shape the future of cardiovascular care.

#LetsRISE2025 #ESCCongress #WCCardio @escardio.bsky.social @worldheart.org