AndrewFolpe
@folpe-mn-st.bsky.social
350 followers 74 following 230 posts
I like my wife and family, bikes, music, dogs, baking bread and soft tissue tumors. Only the last here though.
Posts Media Videos Starter Packs
folpe-mn-st.bsky.social
This is classic morphology for a GLI1 coamplified differentiated liposarcoma with perineurial-like whorls. So now the MDM2 amplification makes sense. The current tumor is showing essentially classical features of a GLI1 amplified soft tissue sarcoma. So the morphology/molecular explain each other.
folpe-mn-st.bsky.social
Well, it turned out he had a tumor in the same laryngeal location a few years ago, diagnosed as a “fibroinflammatory lesion with some features of IgG4 disease”.
folpe-mn-st.bsky.social
A big panel of IHC was negative. For somewhat unclear reasons, MDM2 FISH was ordered and was amplified. Does this make any sense?
folpe-mn-st.bsky.social
It’s also got some bland spindle cell areas.
folpe-mn-st.bsky.social
#PathSky Laryngeal mass, older adult male. Primitive, highly vascular round cell neoplasm for the most part.
folpe-mn-st.bsky.social
Epithelioid angiosarcoma with extensive intravascular growth. Obviously there must be a right sided primary. There’s supposed to be a liver mass.
folpe-mn-st.bsky.social
Just because the ddx includes intravascular lymphoma (at one time known as “intravascular angioendothelioma”), the first pic is CD20. The others of course are CD31 and CD34.
CD20 CD31 CD34
folpe-mn-st.bsky.social
#PathSky 53F with shortness of breath and “ground glass” pulmonary opacity. Not a hard dx, but a spectacular (if very unfortunate) case.
folpe-mn-st.bsky.social
There is a single case report of a desmoid occurring in a Li-Fraumeni patient, with identical morphology. p53 IHC done on this case shows a null/mutated pattern.
P53 P53
folpe-mn-st.bsky.social
Fear not. It’s also got these really bizarre cells, all over the place. Those don’t belong in a desmoid! Not a desmoid? Or is there another explanation?
folpe-mn-st.bsky.social
#PathSky Abdominal wall mass, middle aged woman. Women basically only get 3 abdominal wall tumors, so it’s got to be a desmoid, DFSP or endometriosis. Classic desmoid morphology, aberrant nuclear beta-catenin. I can hear the cries of “boring..”
Beta-catenin
folpe-mn-st.bsky.social
#PathSky Someone shared a chest wall Ewing sarcoma with me today, and I queried them about exactly what they were Askin. I should probably retire today.
folpe-mn-st.bsky.social
Pics would be nice, right?
SS18-SSX SSX c-terminus
folpe-mn-st.bsky.social
#PathSky Middle aged woman, leg mass. It all looks like this. More nuclear palisading/ Verocay bodies than you’ve seen in your entire career. Nerve sheath? S100/Sox10 negative. LMS? Negative for all the muscle markers. Any other ideas?
folpe-mn-st.bsky.social
Oops, I forgot the MDM2 photo.
MDM2
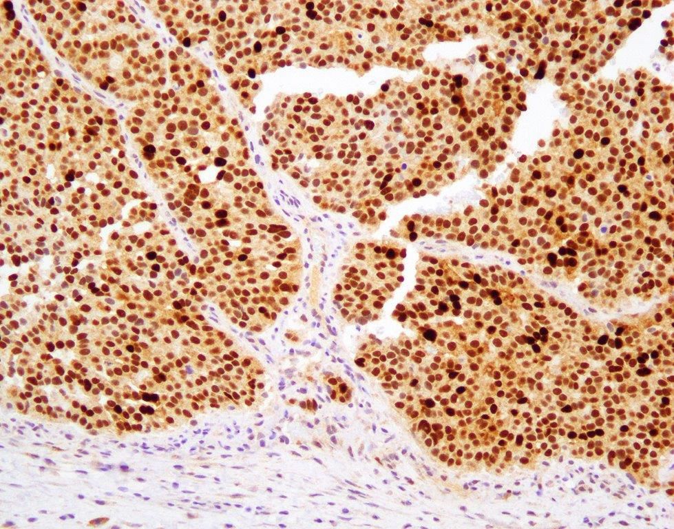
folpe-mn-st.bsky.social
Now, it turns out that she has a clinical history of retroperitoneal dedifferentiated liposarcoma, with multiple local recurrences over a decade. Here’s the MDM2 IHC, diffusely and strongly positive. FISH was also done and 100% of cells showed high level gene amplification.
folpe-mn-st.bsky.social
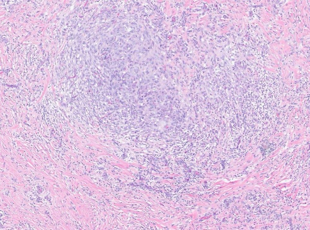
Metastatic carcinoma, obviously. A big clinical work up didn’t identify a primary tumor, and a very broad panel of site-directed markers, including neuroendocrine markers, was negative. So, yet another carcinoma of unknown primary, right?