Katrina Collins || Pathologist
@katcollmd.bsky.social
180 followers 130 following 86 posts
#slidearchiveseries #macrovsmicro
Posts Media Videos Starter Packs
Pinned
katcollmd.bsky.social
📢 Exciting news! Thrilled to share I will be taking on the role of AIMM’s Social Media Editor! Grateful for this opportunity and excited to foster connections in the digital space and engage with our path community. #onlineaheadofprint #IHCpath
🔗 journals.lww.com/appliedimmun...
katcollmd.bsky.social
Which matters more: talent or luck? In games like poker, luck is clear. In life, it shows up as unexpected chances or being in the right place at the right time. #readinglist #goodread

🔗 www.worldscientific.com/doi/10.1142/...
Reposted by Katrina Collins || Pathologist
aimmjournal.bsky.social
🚀 Join us for the launch of our Journal Club Webinar Series!
📚 Articles #openaccess starting July 28
👨🏻‍💻 Don't miss this opportunity to explore new research with us! #AIMMjc

Register 👉🏻 tinyurl.com/ycxeye84

🔗 journals.lww.com/appliedimmun...
🔗 journals.lww.com/appliedimmun...
Reposted by Katrina Collins || Pathologist
intsocuropath.bsky.social
Join us for the 3rd Annual Euro Grawitz Dinner in Vienna!
📅 Sept 10, 2025 | 5:30 PM
🍽️ Zum weißen Rauchfangkehrer

Reserve by Sept 3: www.eventbrite.com/e/1527667858...

Special thanks to our local organizers making this event possible: Prof. Eva Compérat and Miss Amy Rattan
Reposted by Katrina Collins || Pathologist
intsocuropath.bsky.social
Colleagues: the ISUP @intsocuropath.bsky.social website has been down recently while a new website was being built.

New website is now available isupweb.net and in progress being expanded with additional features!

An email to members was sent July 18 via mailchimp.
International Society of Urological Pathology – ISUP
isupweb.net
katcollmd.bsky.social
📚 #readinglist #mustreads
Perfect for those starting their careers, Fragale strikes a balance between smart and approachability. Her advice offers actionable tips that help leverage strengths to own your space. @alisonfragale

📖 Have you read it? If not, add it to your list!!
katcollmd.bsky.social
#slidearchiveseries urothelial carcinoma in situ colonizing prostatic urethra #gupath
Reposted by Katrina Collins || Pathologist
aimmjournal.bsky.social
Check out our Current Issue!!

Figure from "Telomerase Immunocytochemistry in Lymphocytes From Chronic Lymphocytic Leukemia” by Sučić, et al.

🔗 Read the full article here: journals.lww.com/appliedimmun...
katcollmd.bsky.social
#slidearchiveseries seminal vesicle invasion #gupath #prostatecancer

1️⃣ spreading along the ejaculatory duct
2️⃣ direct invasion at the base of the prostate or extension into peri-SV soft tissue and then into the wall of the SV
3️⃣ discontinuous metastases (rare)

🔗 doi.org/10.1038/modp...
katcollmd.bsky.social
#slidearchiveseries history of nephrectomy for renal cell carcinoma, received immunotherapy with complete response, later developed upper GI bleeding from metastases to the proximal jejunum #gupath #gipath
Reposted by Katrina Collins || Pathologist
aimmjournal.bsky.social
Just published! Check out this latest article by @iamshreeya.bsky.social

🔬 Molecular subtyping of bladder cancer is essential—but not always feasible in low-resource settings
🧪 IHC markers GATA3, KRT20, KRT14, KRT5 used to stratify UCs
⚠️ Dual-negative had poorest survival (25%), luminal best (80%)
katcollmd.bsky.social
Can you spot treatment effects in prostate cancer and distinguish secondary tumors involving the prostate? This case-based CME session covers ADT/radiation changes, rare variants, and more.

Check out this session—plan on joining us at #CAP25!

🔗 events.cap.org/event/cap25/...
katcollmd.bsky.social
#slidearchiveseries chromophobe renal cell carcinoma #gupath #pathsky #pathoutpic

✅ solid sheet-like architecture
✅ plant-like cell borders (vegetable cells)
✅ irregular, wrinkled nuclei (raisinoid)
✅ binucleation and perinuclear halos
🎨 CK7, CD117, Hale colloidal iron
katcollmd.bsky.social
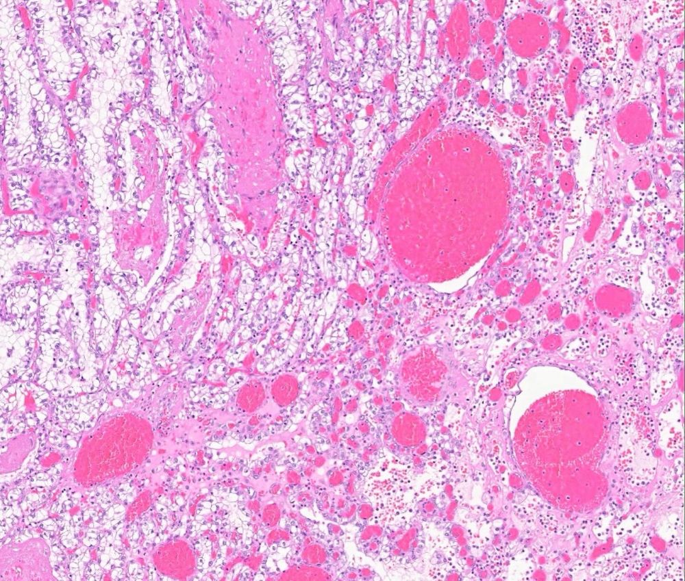
#macrovsmicro total nephrectomy, tan to red, nodular, heterogeneous, well-delineated, focally hemorrhagic/necrotic mass #gupath #pathsky #pathoutpic #kidneytumor
Reposted by Katrina Collins || Pathologist
katcollmd.bsky.social
Our pathology team is walking to fight kidney disease and support the life-changing work of the @nkf-professionals.bsky.social! On June 21, we walk for all who’ve been impacted by this chronic illness. Join us or donate to help make a difference: www.kidneywalk.org/indy/IUPatho...
#kidneywalk
Reposted by Katrina Collins || Pathologist
amyengevik.bsky.social
Liver immunostaining for this #FluorescenceFriday
Reposted by Katrina Collins || Pathologist
aimmjournal.bsky.social
Just published! Check out this latest article 👉🏻 HER2 amplification is rare (1.7%) in low-grade, tubule-forming breast cancers with 2+ HER2 IHC; findings suggest ISH may be unnecessary in this subset #breastpath #IHCpath #pathsky
Reposted by Katrina Collins || Pathologist
aimmjournal.bsky.social
Just published! Check out this latest article!
🔵 PD-L1 expression showed high concordance between cores and full slides.
🔵 CD8+ T cell and CD68+ macrophage densities varied; cores underrepresented immune infiltrates.
@fabiotavora.bsky.social #IHCpath #lungcancer