Radiology Masterclass
banner
radmasterclass.bsky.social
Radiology Masterclass
@radmasterclass.bsky.social
Radiology education for medical students, doctors in training and allied healthcare professionals. Founder/Director @DrGrahamLJ
X-RAY QUIZ: Injury to shoulder. Pain and reduced movement. Is there a visible injury? If so, what is the injury? Start Quiz bit.ly/3OKe6mK
November 24, 2025 at 12:01 PM
ABDOMINAL X-RAY 22: Alcoholic with abdominal pain. What is the radiological sign and what is the likely underlying diagnosis? (Detail image.) Answer bit.ly/3PID6O3
November 23, 2025 at 4:04 PM
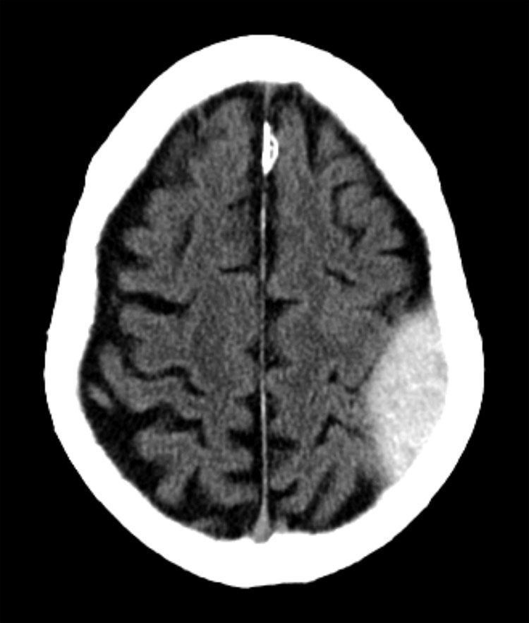
CT BRAIN QUIZ: Alcoholic found unconscious. What does the image show?
A: Subdural haematoma
B: Subarachnoid haemorrhage
C: Intraventricular haemorrhage
D: Extradural haematoma
E: Intracerebral haemorrhage
Start Quiz bit.ly/3F2dhB8
November 22, 2025 at 12:02 PM
CT BRAIN 23: Patient with spontaneous intracranial bleeding. How would you describe the anatomical location of the blood? Answer bit.ly/3mLKITO
November 21, 2025 at 4:52 PM
CHEST X-RAY 43: Which lobe of the lung is consolidated? How can you tell? Answer bit.ly/3FdTuQF
November 20, 2025 at 4:30 PM
CT BRAIN QUIZ: Elderly patient. Confusion. Fall. Which abnormality is present?
A: Multiple brain metastases
B: Lacunar infarcts
C: Old territorial infarct
D: Bilateral chronic subdural collections
E: Low density of cerebral white matter
Start Quiz bit.ly/3JDSXaE
November 19, 2025 at 12:03 PM
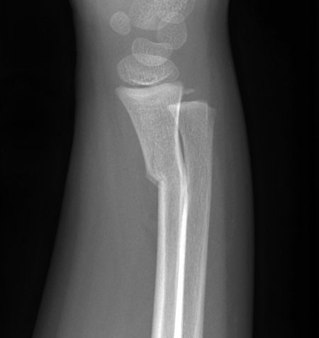
TRAUMA X-RAY 70: Child with injured forearm. What is the name given to this injury? Answer bit.ly/3idqJLF
November 18, 2025 at 12:02 PM
X-RAY QUIZ: 24-year-old patient with suspected appendicitis. What does the image show?
A: Caecal volvulus
B: Normal appearances
C: Pneumoperitoneum
D: Small bowel obstruction
E: Toxic megacolon
Start Quiz bit.ly/3JEdbAQ
November 17, 2025 at 12:02 PM
ABDOMINAL X-RAY 21: Post Caesarean section. What is the abnormality and what is the likely diagnosis? Answer bit.ly/3ZBRauN
November 16, 2025 at 4:03 PM
CHEST X-RAY 42: Cough and weight loss. What is the abnormality? What is the likely diagnosis? Answer bit.ly/3mJsbHp
November 15, 2025 at 4:29 PM
X-RAY QUIZ: Acute abdominal pain,. What is the most appropriate course of action?
A: Place an abdominal drain
B: Request abdominal ultrasound
C: Request abdominal MRI
D: Resuscitate the patient and inform the surgeons
E: Take a break
Start Quiz bit.ly/3gYVY8W
November 14, 2025 at 12:02 PM
TRAUMA X-RAY 69: Twisting injury to ankle and foot. What is the abnormality visible on this lateral view? Answer bit.ly/3WZevVJ
November 13, 2025 at 12:02 PM
X-RAY QUIZ: Cough. What is the most likely cause of the chest X-ray appearances?
A: Pulmonary oedema
B: Lung metastases
C: Tuberculosis
D: Previous spontaneous pneumothorax
E: Sarcoidosis
Start Quiz bit.ly/3gU6LkX
November 12, 2025 at 12:03 PM
CT BRAIN 22: What is the intracranial abnormality? How does the bone window (inset) help determine the cause in this unconscious patient? Answer - bit.ly/41W8RHj
November 11, 2025 at 4:51 PM
CHEST X-RAY 41: Describe the abnormality. What is the differential diagnosis? Answer bit.ly/3T20rtM
November 10, 2025 at 4:28 PM
ABDOMINAL X-RAY 20: What is the cause of right-sided colicky abdominal pain? Answer bit.ly/3AEI1H2
November 9, 2025 at 4:02 PM
X-RAY QUIZ: Smoker with weight loss, haemoptysis, and finger clubbing. The most likely diagnosis is...?
A: Sarcoidosis
B: Glioblastoma metastasis
C: Primary bronchogenic carcinoma
D: Pneumonia
E: Normal X-ray
Start Quiz bit.ly/34JQLzz
November 8, 2025 at 12:01 PM
X-RAY QUIZ: Heavy smoker. Dry cough. Which statement is TRUE?
A The lungs are hyperexpanded
B Costophrenic angle blunting is due to pleural effusions
C The heart is enlarged
D The patient is rotated
E The smoking history is irrelevant
Start Quiz bit.ly/3gY5Zn2
November 7, 2025 at 12:02 PM
TRAUMA X-RAY 68: Car crash. Back seat passenger wearing lap belt. What is this eponymous injury? Answer buff.ly/3E34e6K
November 6, 2025 at 12:02 PM
CHEST X-RAY 40: What tubes can you see? What complication has occurred? Answer bit.ly/3kZ6Ycf
November 5, 2025 at 4:12 PM
X-RAY QUIZ: Which finding is present in this close-up chest X-ray image?
A: Bronchiectasis
B: Septal lines (Kerley B lines)
C: Accessory fissures
D: Lung fibrosis
E: Normal chest X-ray
Start Quiz bit.ly/36i1txn
November 4, 2025 at 12:01 PM
ABDOMINAL X-RAY 19: What is the cause of abnormal calcification? Answer bit.ly/3ZSd1xU
November 3, 2025 at 4:02 PM
TRAUMA X-RAY 67: Trauma to thumb. What is the injury? Answer bit.ly/3WzWNIB
November 2, 2025 at 12:01 PM
X-RAY QUIZ: Direct trauma to toes. Pain and tenderness. DP and oblique views. Is there a visible injury? If so, what is the injury? Start Quiz bit.ly/3vsjNAM
November 1, 2025 at 12:02 PM
CHEST X-RAY 39: What is wrong? What would you do next? Answer bit.ly/3l9gp8R
October 31, 2025 at 4:11 PM