Richard Choi, DO, FNCS
@rkchoi.bsky.social
150 followers 170 following 330 posts
#neurocritcare @medstarhealth.bsky.social, Assoc SoMe Editor @NeuroCritCareJ.bsky.social, Past Chair Ethics & Chair elect marketing @neurocritical.bsky.social. Try to post 1 article review or teaching case q2 Wed’s
Posts Media Videos Starter Packs
Reposted by Richard Choi, DO, FNCS
pulmcrit.bsky.social
Updated the IBCC DKA chapter 🍭

Biggest changes were organizational, there is now a pretty clear & streamlined 8-step guide

Biggest content change was a rewrite of the definition of DKA (but - spoiler alert - the definition remains unclear & controversial)…

emcrit.org/ibcc/dka/#top #EMIMCC
a woman in a checkered shirt says way too much sugar in a kitchen
ALT: a woman in a checkered shirt says way too much sugar in a kitchen
media.tenor.com
rkchoi.bsky.social
End/ Patient did well and went to rehab on #DAPT. Thanks for following til the end. Please make sure to let me know your thoughts, any feedback is welcome!
@aartisarwal @caseyalbin @CajalButterfly @PulmCrit @drdangayach @namorrismd @nirmalregency @mettermd @OGdukeneurosurg @AvrahamCooperMD
rkchoi.bsky.social
End/ Take 🏡 messages:

✅ Recurrent stroke in same vessel = need to keep 🔍 for cause

#CarotidWeb is an intimal flap that can cause stroke

✅ When identified, consult vascular surgery / neuroendovascular for definitive management
rkchoi.bsky.social
18/ With regards to 💊💉:

⏩ Single or Dual antiplt considered 1st line by many

⏩ unclear if SAPT, DAPT or anticoag superior though all with high recurrence

⏩ Stent vs. Endarterectomy reasonable, no clear superiority in trials

⏩ Intervention likely better than SAPT, DAPT or AC
rkchoi.bsky.social
17/ #CarotidWebs also:

⏩ best seen on oblique CT views (need recons), unclear if MRA superior

⏩ can be seen on longitudinal B mode on #ultrasound

⏩ gold standard = #DSA

⏩ optical coherence tomography (OCT) may be the future! 😎
rkchoi.bsky.social
16/ #CarotidWebs:

⏩ tend to occur in younger people

⏩pathogenesis incompletely understood (? Developmental, acquired, hormonal related)

⏩ high risk of stroke recurrence (~11% anually) - bigger web = ⏫ risk of stroke
rkchoi.bsky.social
15/ #CarotidWeb is a shelf-like intimal flap that projects into the lumen and is a known stroke risk factor! See more here:

jnis.bmj.com/content...
rkchoi.bsky.social
14/ Pt had recurrent stroke on #anticoagulation! Pt requires an intervention. Given stent and endarterectomy have similar efficacy (no head-to-head data available), pt undergoes stent placement and goes to rehab!
rkchoi.bsky.social
13/ This is a carotid web! What do you do?

Continue anticoag

Endarterectomy

Stent
rkchoi.bsky.social
12/ Pt again undergoes thrombectomy successfully, but this time, an astute #neuroendovascular genius notes this:.

What do you see?

Dissection

Atherosclerosis

Carotid web
rkchoi.bsky.social
11/ What is going on here?? What could it be?

Cardiac myxoma

Carotid web

Hypercoag of malignancy

Other zebra
rkchoi.bsky.social
10/ Despite anticoagulation, pt presents several months later with left sided weakness, neglect, gaze deviation again 😩! #CT 🐱scan again with no acute stroke, evidence of prior stroke, but CTA again with right M1 occlusion!!!
rkchoi.bsky.social
9/ However, given low EF, reasonable to start anticoagulation and so patient is discharged on anticoagulation!
See: www.ahajournals.org/...
rkchoi.bsky.social
7/ Work up unremarkable, no afib findings, echo without shunt but low EF (35%), carotid on CTA without stenosis. Do you anticoagulate?

Yes

No
rkchoi.bsky.social
6/ What do you think is the etiology?

Can't tell

Cardioembolic

Large vessel
rkchoi.bsky.social
5/ Patient receives TNK and undergoes thrombectomy with great outcome! (pre/post angio, MRI DWI)
rkchoi.bsky.social
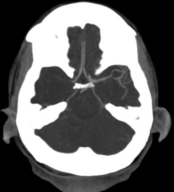
4/ 🐱 #CT head done with #ASPECTS 10, but #CTA reveals this:
rkchoi.bsky.social
3/ Remember 🚐:

V – visual – field cut or gaze deviation

A – aphasia

N – neglect

This is the easiest way to identify #LVO or Large Vessel Occlusion! Given the neglect and gaze deviation, certainly worried for LVO!
rkchoi.bsky.social
2/Middle aged person comes in with left sided deficits and is evaluated for #stroke. On exam, left hemiparesis, left hemineglect, right gaze deviation. What is the etiology?

LVO

Small vessel
rkchoi.bsky.social
1/ Hello #medtwitter #neurotwitter #neurocritcare #FOAMEd have another brief case that I wanted to discuss with you and see if maybe you can learn something new or reinforce old knowledge!
rkchoi.bsky.social
True concern: how many of our #ich patients will benefit from #MIS?

www.ahajournals.org/...

rkchoi.bsky.social
Hi #neurocritcare @neurocritical don’t forget to participate in the #SoMe contest if you’re going to #NCS2025!

rkchoi.bsky.social
@HopkinsNCCU

@PulmCrit

@drdangayach

@neurochristiana

@nirmalregency

@interneurona

@MicieliA_MD

@mettermd

@oneDRwoman_

@OGdukeneurosurg

@AvrahamCooperMD

@LorenzoPinelli

@daniel_gewolb

rkchoi.bsky.social
@a_charidimou

@EricLawson90

@CajalButterfly

@Capt_Ammonia

@DrAtulRamesh1

@RamaniBalu1

@DSandsmarkMDPhD

@PennNeurology

@TJUHNeuroCrit

@namorrismd

@ShadiYaghi2

@MDNeurocritcare