Boonyarit Cheunsuchon MD
@roboonya.bsky.social
490 followers 440 following 7 posts
Renal pathologist. Bangkok, Thailand
Posts Media Videos Starter Packs
roboonya.bsky.social
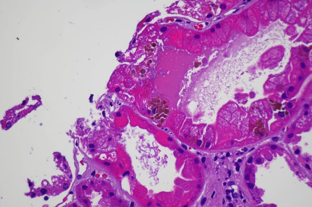
Alport syndrome in middle aged man with hx of hearing impair. Presents with proteinuria, RBC 3-5, UPCR 4, SCr 2.5. Characteristic interstitial foam cells noted. #renalpath #pathsky #nephrology
roboonya.bsky.social
Persona Analysis: The Clinical Philosopher with 92% authenticity!

blueskyroast.com/roast/roboon...
roboonya.bsky.social
How can we tell that the ones with hollow core are not immunotactoid GN?
roboonya.bsky.social
That's correct. Lipofuscin is golden brown pigment associated with senescent cells. It is composed of degraded protein & lipid from cell membrane breakdown, probably due to decreased lysosome function
journals.lww.com/kidney360/fu...
A Patient with Unexpected Golden Brown Tubular Staining : Kidney360
An abstract is unavailable.
journals.lww.com
roboonya.bsky.social
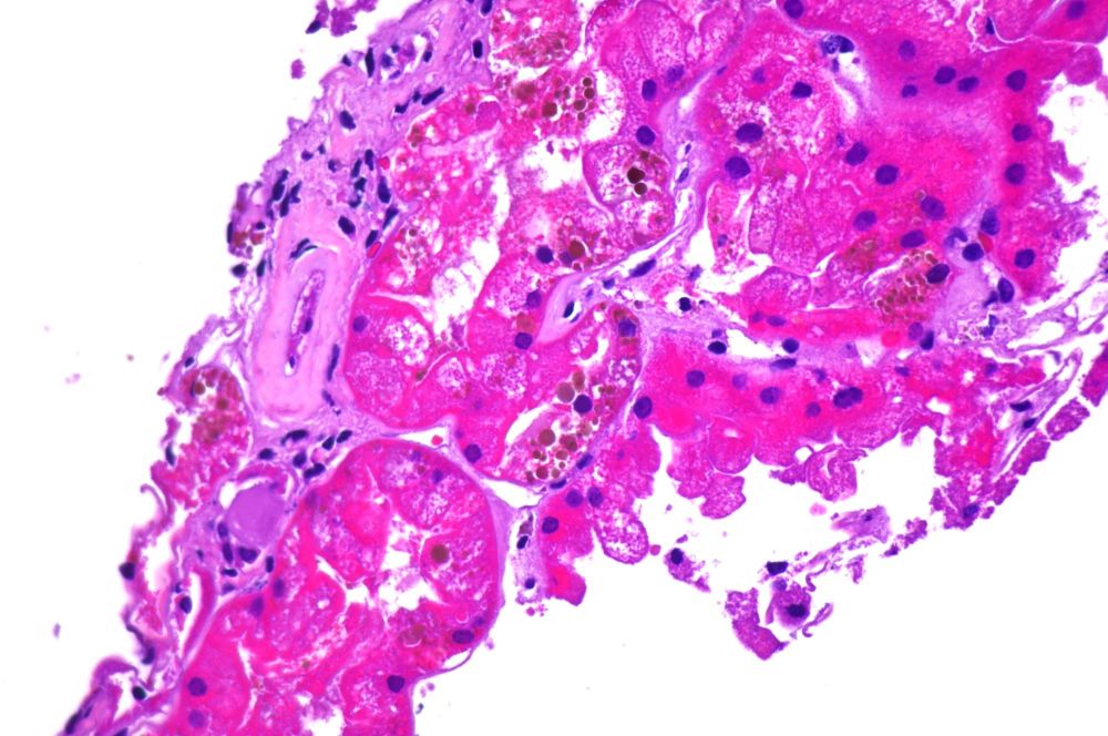
What are the pigments in tubular cells? The bx is from 85 yo female with nephrotic syndrome and AKI. #renalpathology #pathsky
roboonya.bsky.social
30 yo F 6 days PO with delayed graft function. Bx shows acute tubular injury with extensive calcium oxalate crystal deposits. Graft function improves after supportive treatment. Unclear cause. #renalpath #pathsky #nephrology
roboonya.bsky.social
Is AIN also a finding in contrast nephropathy?