Katherine King MD PhD
@thekinglab.bsky.social
430 followers 250 following 61 posts
Professor in Pediatric Infectious Disease researching effects of infection, inflammation, and the microbiome on hematopoietic stem cells and their progeny. How do infections affect bone marrow and vice versa? Co-Director of BCM MSTP. 🌈
Posts Media Videos Starter Packs
thekinglab.bsky.social
Great science, food, and hospitality at #ISEH2025 Kumamoto. Several new collaborations planned!
Negative Selection! For those who know.
thekinglab.bsky.social
I am so grateful to be able to spend time with colleagues at #iseh2025. Fantastic science and community.
keisukeito-lab.bsky.social
Ready for #ISEH2025 Scientific Session? After 1.5 days of rich, productive discussions, @isehsociety.bsky.social leadership & Board of Directors are all set—with the full program and even the social events lined up!
@thekinglab.bsky.social @smckinneyfreeman.bsky.social @nickvangastel.bsky.social
thekinglab.bsky.social
Central trained immunity is still a nascent field— is there true reprogramming of hematopoietic progenitors to influence innate immunity, or is this selection for lineage biased cells? We explore the nuances in this new review. doi.org/10.7554/eLif... awesome collab with Eva Kaufmann and team!
Hematopoietic stem and progenitor cells as a reservoir for trained immunity
Inflammation supports selection, differentiation bias, and epigenetic reprogramming of hematopoietic stem and progenitor cells to generate innate immune memory.
doi.org
thekinglab.bsky.social
Less than a month until ISEH @isehsociety.bsky.social annual meeting in Kumamoto! Bringing some new science to share and excited to see friends and try the food!
thekinglab.bsky.social
It’s just a noncompeting renewal, but I’ve never been so happy.
thekinglab.bsky.social
Aw thanks so much Adam! Let’s talk more about how these mutations affect migration of immune cells across tissues.
thekinglab.bsky.social
Lots of interesting pieces here including how immune cells get into the brain and how often they replace microglia.
thekinglab.bsky.social
We transplanted 5xFAD mice (a model for AD) with Dnmt3a or Tet2 mutant marrow, the two most common mutations found in age-associated CH
thekinglab.bsky.social
We had not one but TWO bottles of bubbly to celebrate paper acceptances in the lab!! Exciting stories forthcoming which I am excited to introduce when they’re online!
thekinglab.bsky.social
This post is almost a week late but huge congratulations to the 14 fabulous students who earned their MD PhD degrees last week @bcmhouston.bsky.social @bcm-mstp.bsky.social So amazing to see you all complete this journey. 😍
thekinglab.bsky.social
Big day for Dr. Brandon Tran yesterday as he became a PhD graduate! Beautiful presentation of rigorous work on conservation of epigenetic marks after infection through myeloid differentiation. 🥳🤩🥳
thekinglab.bsky.social
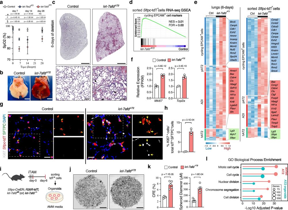
Congrats @micrornax.bsky.social on this study on let7 in lung injury/repair and thanks for including us as collaborators!
micrornax.bsky.social
(1/n) Our article is out in @natcomms.bsky.social! We set out to examine the contribution of the ancient Let-7 microRNA over alveolar type 2 (AT2) stem cell plasticity in the genesis of pulmonary injury and interstitial lung disease i work led by Matthew and Shafiq in my lab.
Paper: rdcu.be/elun3
Let-7 restrains an epigenetic circuit in AT2 cells to prevent fibrogenic intermediates in pulmonary fibrosis
Nature Communications - Loss of let-7, a key microRNA, causes lung alveolar stem cells to grow abnormally and dieprematurely, leading to scarring and lung damage. Here the study links let-7 loss to...
rdcu.be
thekinglab.bsky.social
Perfect weather for our “annual” King lab crawfish boil— so fun to see current lab, alums, and lab babies! 😍