Paul Keeble ME/LC
@paulkeeble.co.uk
ME since 2017 (Mild), 2019 Moderate , 2020 Severe
Long Covid since March 2020 (V Severe)
Funcap55 = 1.9 ( (Severe)
Long Covid since March 2020 (V Severe)
Funcap55 = 1.9 ( (Severe)
Pinned
Paul Keeble ME/LC
@paulkeeble.co.uk
· Nov 13
I post recent studies on #MEScience and #LCScience most often with just a 1 post summary.
I cover news for both #mecfs and #longcovid.
I live post from conferences or hearings.
I share the trauma that is severe ME and Long Covid, occasionally it's darkly funny.
I cover news for both #mecfs and #longcovid.
I live post from conferences or hearings.
I share the trauma that is severe ME and Long Covid, occasionally it's darkly funny.
The ME/CFS research foundation has started tracking the Norway and Iceland research landscape (alongside existing Germany, Austria, Switzerland and the Netherlands tracking).
Image is of Norway publications. They have 3 Phase II trials currently running.
mecfs-research.org/en/news-mrr-...
Image is of Norway publications. They have 3 Phase II trials currently running.
mecfs-research.org/en/news-mrr-...
September 17, 2025 at 1:53 PM
The ME/CFS research foundation has started tracking the Norway and Iceland research landscape (alongside existing Germany, Austria, Switzerland and the Netherlands tracking).
Image is of Norway publications. They have 3 Phase II trials currently running.
mecfs-research.org/en/news-mrr-...
Image is of Norway publications. They have 3 Phase II trials currently running.
mecfs-research.org/en/news-mrr-...
Small study (38) finds(just about) clinical significance that Solriamfetol, a drug for narcolepsy, improved fatigue in #pwme. They used the Fatigue Symptom Inventory which is a bad 1-10 measure all about fatigue. Its not open access, but I suspect there are issues and limited improvement.
September 17, 2025 at 1:51 PM
Small study (38) finds(just about) clinical significance that Solriamfetol, a drug for narcolepsy, improved fatigue in #pwme. They used the Fatigue Symptom Inventory which is a bad 1-10 measure all about fatigue. Its not open access, but I suspect there are issues and limited improvement.
"A study using DNA samples from 418 people with ME/CFS found that certain gene variants encoding inhibitary KIRs [Killer-cell immunoglobulin-like receptors] are more common in ME/CFS..., further supporting the role of Natural Killer cells in ME/CFS"
www.meresearch.org.uk/natural-kill...
www.meresearch.org.uk/natural-kill...
Natural killer cells, genes, and ME/CFS
Cytotoxicity is the ability of a cell to damage another cell. Natural killer (NK) cells use this ability to destroy infected and diseased cells – a function that is crucial in the immune system. Resea...
www.meresearch.org.uk
September 17, 2025 at 1:50 PM
"A study using DNA samples from 418 people with ME/CFS found that certain gene variants encoding inhibitary KIRs [Killer-cell immunoglobulin-like receptors] are more common in ME/CFS..., further supporting the role of Natural Killer cells in ME/CFS"
www.meresearch.org.uk/natural-kill...
www.meresearch.org.uk/natural-kill...
"The reliability of the Office for National Statistics (ONS) data relies on coroners naming specific substances on death certificates, something which often does not happen."
Same with cause of death, which in #pwme ME is removed.
www.bbc.co.uk/news/article...
Same with cause of death, which in #pwme ME is removed.
www.bbc.co.uk/news/article...
Thousands of opioid deaths missed off official figures
The error - affecting England and Wales - raises concerns about the impact on the government's approach to drug deaths.
www.bbc.co.uk
September 16, 2025 at 3:02 PM
"The reliability of the Office for National Statistics (ONS) data relies on coroners naming specific substances on death certificates, something which often does not happen."
Same with cause of death, which in #pwme ME is removed.
www.bbc.co.uk/news/article...
Same with cause of death, which in #pwme ME is removed.
www.bbc.co.uk/news/article...
Some of the press is "covering" the current Covid wave but their entire messaging is unchanged, its nothing to worry about. They never mention Long Covid.
A coordinated disinformation campaign by the UK press.
www.mirror.co.uk/news/uk-news...
A coordinated disinformation campaign by the UK press.
www.mirror.co.uk/news/uk-news...
Covid 'Stratus' variant warning over 'unpleasant bug' as doctor issues alert
A new Covid variant, Stratus (XFG), is rapidly spreading worldwide. It's highly contagious, and can result in a nasty bug, but vaccines remain effective, experts say
www.mirror.co.uk
September 16, 2025 at 12:54 PM
Some of the press is "covering" the current Covid wave but their entire messaging is unchanged, its nothing to worry about. They never mention Long Covid.
A coordinated disinformation campaign by the UK press.
www.mirror.co.uk/news/uk-news...
A coordinated disinformation campaign by the UK press.
www.mirror.co.uk/news/uk-news...
🧵The number of papers going through pubmed on Long Covid is dropping. The height was 2022 with 11166 papers whereas last year there was 7369 and at current rates this year will reach 6,645.
but for ME/CFS however....
but for ME/CFS however....
September 3, 2025 at 7:26 PM
🧵The number of papers going through pubmed on Long Covid is dropping. The height was 2022 with 11166 papers whereas last year there was 7369 and at current rates this year will reach 6,645.
but for ME/CFS however....
but for ME/CFS however....
Reposted by Paul Keeble ME/LC
What the ME delivery plan should have looked like - full post here:
www.instagram.com/p/DMa8sjPMzd...
www.instagram.com/p/DMa8sjPMzd...
July 22, 2025 at 8:18 PM
What the ME delivery plan should have looked like - full post here:
www.instagram.com/p/DMa8sjPMzd...
www.instagram.com/p/DMa8sjPMzd...
"Using an N95 respirator for 4h continuously did not adversely affect work efficiency... it is unlikely that N95 respirators will adversely affect the performance of healthcare workers."
pubmed.ncbi.nlm.nih.gov/40666495/
pubmed.ncbi.nlm.nih.gov/40666495/
Adverse Effects of the Long-term use of an N95 Respirator in Healthcare Workers - PubMed
Using an N95 respirator for 4 h continuously did not adversely affect work efficiency. Although prolonged work under conditions of discomfort should be avoided, it is unlikely that N95 respirators wil...
pubmed.ncbi.nlm.nih.gov
July 16, 2025 at 12:50 PM
"Using an N95 respirator for 4h continuously did not adversely affect work efficiency... it is unlikely that N95 respirators will adversely affect the performance of healthcare workers."
pubmed.ncbi.nlm.nih.gov/40666495/
pubmed.ncbi.nlm.nih.gov/40666495/
7T brain and calf muscle MRS looking into energy metabolism finds increased lactate in #mecfs (CDC criteria) and reduced choline in #longcovid (>=2 fever, shortness of breath, persistent cough, taste/smell, all fatigued). No difference in Creatine found.
www.nature.com/articles/s41...
www.nature.com/articles/s41...
Brain and muscle chemistry in myalgic encephalitis/chronic fatigue syndrome (ME/CFS) and long COVID: a 7T magnetic resonance spectroscopy study - Molecular Psychiatry
Molecular Psychiatry - Brain and muscle chemistry in myalgic encephalitis/chronic fatigue syndrome (ME/CFS) and long COVID: a 7T magnetic resonance spectroscopy study
www.nature.com
July 13, 2025 at 9:17 AM
7T brain and calf muscle MRS looking into energy metabolism finds increased lactate in #mecfs (CDC criteria) and reduced choline in #longcovid (>=2 fever, shortness of breath, persistent cough, taste/smell, all fatigued). No difference in Creatine found.
www.nature.com/articles/s41...
www.nature.com/articles/s41...
Master Athletes get #LongCovid too, including severe. They didn't find the usual female 2:1 ratio it seemed even between the sexes.
Also found a link between blood CRP and self reported cardiac and flu like symptoms.
pubmed.ncbi.nlm.nih.gov/40650463/
Also found a link between blood CRP and self reported cardiac and flu like symptoms.
pubmed.ncbi.nlm.nih.gov/40650463/
Post-COVID-19 Condition in Track and Field Master Athletes: Severity, Symptoms, and Associations With Quality of Life and C-Reactive Protein Levels - PubMed
Here, we assessed the prevalence of post-COVID-condition (PCC, also known as long-COVID) and investigated its associations with health-related quality of life and immune-related biomarkers in track an...
pubmed.ncbi.nlm.nih.gov
July 13, 2025 at 8:31 AM
Master Athletes get #LongCovid too, including severe. They didn't find the usual female 2:1 ratio it seemed even between the sexes.
Also found a link between blood CRP and self reported cardiac and flu like symptoms.
pubmed.ncbi.nlm.nih.gov/40650463/
Also found a link between blood CRP and self reported cardiac and flu like symptoms.
pubmed.ncbi.nlm.nih.gov/40650463/
He said there were no good options, adding: “It’s the least-worst decision that could have been taken at the time.”
The High Court ruled in 2022 that ... discharging hospital patients into care homes at the start of the pandemic were “unlawful”.
www.independent.co.uk/news/uk/home...
The High Court ruled in 2022 that ... discharging hospital patients into care homes at the start of the pandemic were “unlawful”.
www.independent.co.uk/news/uk/home...
Matt Hancock defiant about Covid care home plan
The High Court ruled in 2022 that government policies on discharging hospital patients into care homes at the start of the pandemic were ‘unlawful’
www.independent.co.uk
July 2, 2025 at 4:02 PM
He said there were no good options, adding: “It’s the least-worst decision that could have been taken at the time.”
The High Court ruled in 2022 that ... discharging hospital patients into care homes at the start of the pandemic were “unlawful”.
www.independent.co.uk/news/uk/home...
The High Court ruled in 2022 that ... discharging hospital patients into care homes at the start of the pandemic were “unlawful”.
www.independent.co.uk/news/uk/home...
Large study looking at reinfections finds initial infections of Delta don't seem to worsen with subsequent infections, whereas those initially suffer Omicron do.
"Repeated infection with Omicron variants may increase the risk of long-term symptoms."
academic.oup.com/cid/advance-...
"Repeated infection with Omicron variants may increase the risk of long-term symptoms."
academic.oup.com/cid/advance-...
The Effect of Severe Acute Respiratory Syndrome Coronavirus 2 (SARS-CoV-2) Reinfection on Long-Term Symptoms in the Innovative Support for Patients With SARS-CoV-2 Infections Registry (INSPIRE)
The clinical consequences of repeated severe acute respiratory syndrome coronavirus 2 infection are unclear, especially as they relate to long-term symptom
academic.oup.com
June 27, 2025 at 8:43 PM
Large study looking at reinfections finds initial infections of Delta don't seem to worsen with subsequent infections, whereas those initially suffer Omicron do.
"Repeated infection with Omicron variants may increase the risk of long-term symptoms."
academic.oup.com/cid/advance-...
"Repeated infection with Omicron variants may increase the risk of long-term symptoms."
academic.oup.com/cid/advance-...
"In LC patients, an early phase of low-grade inflammation transitioned into significant reduction in proinflammatory biomarkers ... this pattern suggests a possible suppression or exhaustion of the immune response in the months following acute infection"
www.mdpi.com/1648-9144/61...
www.mdpi.com/1648-9144/61...
www.mdpi.com
June 27, 2025 at 11:25 AM
"In LC patients, an early phase of low-grade inflammation transitioned into significant reduction in proinflammatory biomarkers ... this pattern suggests a possible suppression or exhaustion of the immune response in the months following acute infection"
www.mdpi.com/1648-9144/61...
www.mdpi.com/1648-9144/61...
77 Patient genetic study on #mecfs.
"Significant associations with ME/CFS were harboured in genes that belong to the Neuroblastoma Breakpoint Family encoding Olduvai (DUF1220) domains, namely NBPF1 (rs3897177), NBPF10 (rs1553120233), and NBPF16"
pubmed.ncbi.nlm.nih.gov/40564862/
"Significant associations with ME/CFS were harboured in genes that belong to the Neuroblastoma Breakpoint Family encoding Olduvai (DUF1220) domains, namely NBPF1 (rs3897177), NBPF10 (rs1553120233), and NBPF16"
pubmed.ncbi.nlm.nih.gov/40564862/
Neurodevelopment Genes Encoding Olduvai Domains Link Myalgic Encephalomyelitis to Neuropsychiatric Disorders - PubMed
<span><b>Background/Objectives:</b> The aetiology of Myalgic Encephalomyelitis/Chronic Fatigue Syndrome (ME/CFS), a chronic and severe debilitating disease with a complex phenotype, remains elusive. A...
pubmed.ncbi.nlm.nih.gov
June 26, 2025 at 12:31 PM
77 Patient genetic study on #mecfs.
"Significant associations with ME/CFS were harboured in genes that belong to the Neuroblastoma Breakpoint Family encoding Olduvai (DUF1220) domains, namely NBPF1 (rs3897177), NBPF10 (rs1553120233), and NBPF16"
pubmed.ncbi.nlm.nih.gov/40564862/
"Significant associations with ME/CFS were harboured in genes that belong to the Neuroblastoma Breakpoint Family encoding Olduvai (DUF1220) domains, namely NBPF1 (rs3897177), NBPF10 (rs1553120233), and NBPF16"
pubmed.ncbi.nlm.nih.gov/40564862/
🧵Cells infected with pseudovirus could increase the accumulation of ferrous ions and ROS in mitochondria and be released into the cytosol after removing pseudovirus, thereby causing mitochondrial dysfunction...
June 26, 2025 at 12:29 PM
🧵Cells infected with pseudovirus could increase the accumulation of ferrous ions and ROS in mitochondria and be released into the cytosol after removing pseudovirus, thereby causing mitochondrial dysfunction...
"The things we learned – about clean air, proper sick pay, the importance of staying home when ill – are being forgotten, even though the virus hasn’t gone away."
#covid
www.independent.co.uk/news/health/...
#covid
www.independent.co.uk/news/health/...
‘We haven’t learned anything’: Readers despair over UK’s Covid response in 2025
Many of the protections and behaviours that helped us during the pandemic — like staying home when sick, wearing masks, and improving ventilation – have quietly disappeared, say Independent readers
www.independent.co.uk
June 26, 2025 at 11:04 AM
"The things we learned – about clean air, proper sick pay, the importance of staying home when ill – are being forgotten, even though the virus hasn’t gone away."
#covid
www.independent.co.uk/news/health/...
#covid
www.independent.co.uk/news/health/...
"After taking liraglutide for 12 weeks, the participants reported that the mean number of days per month on which they experienced a headache dropped from almost 20 to just under 11. Of the 31 participants, 15 had a reduction of at least 50% in monthly headache frequency."
Obesity drugs show promise treating a new ailment: migraine
Liraglutide, part of the family of blockbuster weight-loss drugs, reduces headaches by half in a small study.
www.nature.com
June 23, 2025 at 4:10 PM
"After taking liraglutide for 12 weeks, the participants reported that the mean number of days per month on which they experienced a headache dropped from almost 20 to just under 11. Of the 31 participants, 15 had a reduction of at least 50% in monthly headache frequency."
Jarred Younger on some of the issues with the recent 86 patient Rapamycin trial. The dropouts due to lack of efficacy, the lack of ME/CFS criteria information. Feels its mainly research focussed to design a better study.
www.youtube.com/watch?v=JqUa...
www.youtube.com/watch?v=JqUa...
061 - Low dose rapamycin for ME/CFS
YouTube video by Jarred Younger, PhD
www.youtube.com
June 23, 2025 at 3:44 PM
Jarred Younger on some of the issues with the recent 86 patient Rapamycin trial. The dropouts due to lack of efficacy, the lack of ME/CFS criteria information. Feels its mainly research focussed to design a better study.
www.youtube.com/watch?v=JqUa...
www.youtube.com/watch?v=JqUa...
Hyperbaric chamber and Oxygen with 3 control groups for oxygen, pressure and neither results in no differences. It doesn't work, another of the early treatment options fails in a random control trial.
#longcovid
www.dhmjournal.com/index.php/jo...
#longcovid
www.dhmjournal.com/index.php/jo...
Diving and Hyperbaric Medicine - Abstracts 2025 55 (2)
Diving and Hyperbaric Medicine is published quarterly by the South Pacific Medicine Underwater Society and the European Underwater and Baromedical Society.
www.dhmjournal.com
June 22, 2025 at 1:13 PM
Hyperbaric chamber and Oxygen with 3 control groups for oxygen, pressure and neither results in no differences. It doesn't work, another of the early treatment options fails in a random control trial.
#longcovid
www.dhmjournal.com/index.php/jo...
#longcovid
www.dhmjournal.com/index.php/jo...
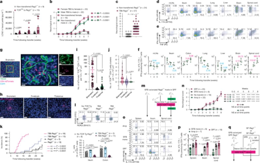
T cells can cause inflammation in a mouse intestine and they can then migrate to the central nervous system and they produce high levels of GM.CSF, Interferon gamma and IL-17A triggering neurological damage. The t cells activate the microglial cells.
www.nature.com/articles/s41...
www.nature.com/articles/s41...
Gut inflammation promotes microbiota-specific CD4 T cell-mediated neuroinflammation - Nature
Dysregulated CD4 T cells that recognize gut commensal antigens are able to infiltrate the central nervous systems and are re-stimulated by host proteins, resulting in neuroinflammation.
www.nature.com
June 18, 2025 at 7:20 PM
T cells can cause inflammation in a mouse intestine and they can then migrate to the central nervous system and they produce high levels of GM.CSF, Interferon gamma and IL-17A triggering neurological damage. The t cells activate the microglial cells.
www.nature.com/articles/s41...
www.nature.com/articles/s41...
"Despite the uptick in cases, there’s been little public discussion of precautions like mask-wearing, isolation or staying at home. With guidance now unclear and testing scaled back, many people aren’t sure whether the old rules still apply" #covid
www.independent.co.uk/news/health/...
www.independent.co.uk/news/health/...
Have your say: Did we learn the right lessons from the Covid pandemic?
As a new Covid variant spreads across the UK, we’re asking: did we learn the right lessons from the pandemic, or are we slipping back into old habits?
www.independent.co.uk
June 18, 2025 at 1:01 PM
"Despite the uptick in cases, there’s been little public discussion of precautions like mask-wearing, isolation or staying at home. With guidance now unclear and testing scaled back, many people aren’t sure whether the old rules still apply" #covid
www.independent.co.uk/news/health/...
www.independent.co.uk/news/health/...
Nature is going to be including the peer review comments alongside its papers in the future for transparency and showing the process.
www.nature.com/articles/d41...
www.nature.com/articles/d41...
Transparent peer review to be extended to all of Nature’s research papers
From today, all new submissions to Nature that are published will be accompanied by referees’ reports and author responses — to illuminate the process of producing rigorous science.
www.nature.com
June 16, 2025 at 8:16 PM
Nature is going to be including the peer review comments alongside its papers in the future for transparency and showing the process.
www.nature.com/articles/d41...
www.nature.com/articles/d41...
Title table tests looking at cerebral blood flow (CBF) and cardiac output (CO) finds 2 groups in #mecfs.
2/3rds had a 1:1 CBF drop to CO reduction.
1/3rd reduction in CO came with substantial increase in Heart Rate. No relationship between CBF/CO.
www.mdpi.com/2077-0383/14...
2/3rds had a 1:1 CBF drop to CO reduction.
1/3rd reduction in CO came with substantial increase in Heart Rate. No relationship between CBF/CO.
www.mdpi.com/2077-0383/14...
www.mdpi.com
June 13, 2025 at 11:56 AM
Title table tests looking at cerebral blood flow (CBF) and cardiac output (CO) finds 2 groups in #mecfs.
2/3rds had a 1:1 CBF drop to CO reduction.
1/3rd reduction in CO came with substantial increase in Heart Rate. No relationship between CBF/CO.
www.mdpi.com/2077-0383/14...
2/3rds had a 1:1 CBF drop to CO reduction.
1/3rd reduction in CO came with substantial increase in Heart Rate. No relationship between CBF/CO.
www.mdpi.com/2077-0383/14...
Study measured the activity of nerves supplying the foot during ankle contractions finds its 25% lower in #pwme. Suggests impaired motoneuron behaviour could contribute to the muscle weakness.
www.meresearch.org.uk/impaired-mot...
www.meresearch.org.uk/impaired-mot...
Impaired motoneuron behaviour in ME/CFS
www.meresearch.org.uk
June 13, 2025 at 11:42 AM
Study measured the activity of nerves supplying the foot during ankle contractions finds its 25% lower in #pwme. Suggests impaired motoneuron behaviour could contribute to the muscle weakness.
www.meresearch.org.uk/impaired-mot...
www.meresearch.org.uk/impaired-mot...
Reposted by Paul Keeble ME/LC
🧪
@sunny-rae1.bsky.social
@johnmcdonnellmp.bsky.social
Thank you
Rae for the briefing on #LongCovid you gave John and
John for putting it forward in today’s debate on the Pandemic
@sunny-rae1.bsky.social
@johnmcdonnellmp.bsky.social
Thank you
Rae for the briefing on #LongCovid you gave John and
John for putting it forward in today’s debate on the Pandemic
June 12, 2025 at 6:02 PM
🧪
@sunny-rae1.bsky.social
@johnmcdonnellmp.bsky.social
Thank you
Rae for the briefing on #LongCovid you gave John and
John for putting it forward in today’s debate on the Pandemic
@sunny-rae1.bsky.social
@johnmcdonnellmp.bsky.social
Thank you
Rae for the briefing on #LongCovid you gave John and
John for putting it forward in today’s debate on the Pandemic