Jan Berghöfer
banner
berghoefer.bsky.social
Jan Berghöfer
@berghoefer.bsky.social
Computational Biologist | PhD student @molgen.mpg.de | Genomics, epigenetics, gene regulation | he/him
Reposted by Jan Berghöfer
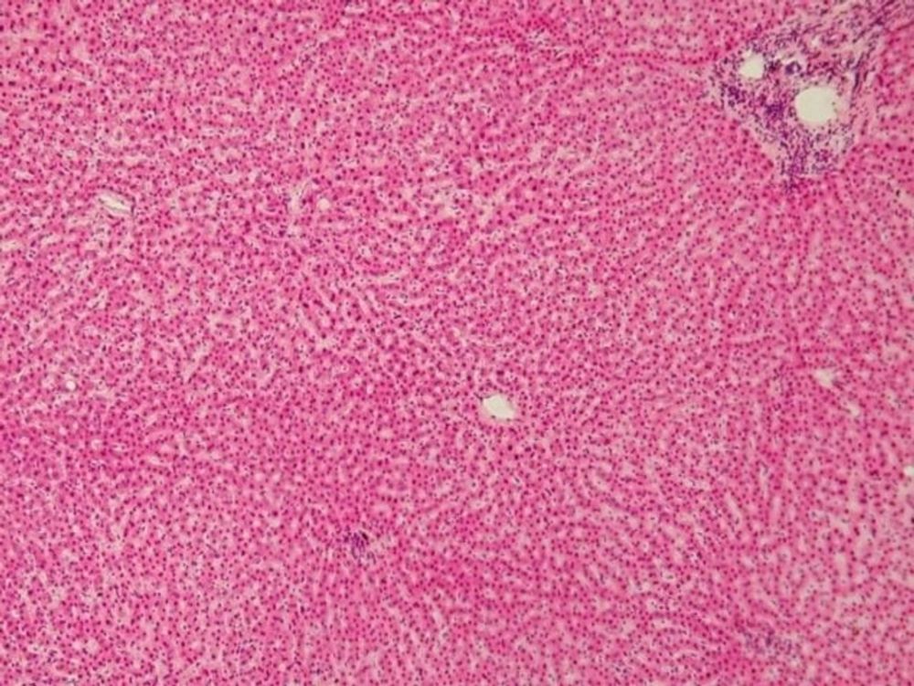
A new study by the Meissner and Hnisz labs, published in Developmental Cell, reveals the genetic programs that guide liver cells as they develop into fully functional hepatocytes. The findings could have implications for biotechnology and regenerative medicine.
--> www.molgen.mpg.de/2025-11-27-f...
From form to function – how liver cells mature
A new study by the Meissner and Hnisz labs, published in Developmental Cell, reveals in new detail the genetic programs that guide liver cells as they develop into fully functional hepatocytes. The fi...
www.molgen.mpg.de
December 1, 2025 at 3:50 PM
Most of my PhD has centred on a simple question: why do miniature pigs stay small, and what does that tell us about how growth plates work?

Together with Nadia Khaveh, Julia Metzger, and colleagues at @molgen.mpg.de, TiHo Hannover and further institutions, we’ve now posted our multi-omics preprint.
Integrative multi-omics analysis of growth plate regulation underlying body size in miniature pigs
Body size represents a complex phenotype driven by genetic variation and epigenetic regulation, with the molecular processes underlying this trait remaining a central challenge to disentangle. To eluc...
doi.org
December 2, 2025 at 1:57 PM
Reposted by Jan Berghöfer
IMPRS-BAC #gradschool: Our new groupleader @sedonamurphy.bsky.social has an open PhD project in her lab. Topic: Spatial feedback between epigenetic regulation and chromatin regulation. Apply by Jan 7, 2026!
👉 www.molgen.mpg.de/5091778/Murp...
November 18, 2025 at 4:05 PM
Reposted by Jan Berghöfer
🔬 Hot #PhD topic: Single-molecule fluorescence and super-resolution microscopy! Use quantitative nanoscale imaging to map nuclear organization. Apply by Jan 7 to join Johannes Stein’s Lab @jmstein.bsky.social & #IMPRS-BAC #gradschool!

👉 www.molgen.mpg.de/5098010/stei...
November 25, 2025 at 2:18 PM
Reposted by Jan Berghöfer
Dialing down the use of social media for a week reduced symptoms of anxiety, depression and insomnia in young adults, according to a study published on Monday in the journal JAMA Network Open.
Study Finds Mental Health Benefit to One-Week Social Media Break
Young adults who engaged in a social media “detox” reported reductions in depression, anxiety and insomnia, though it was unclear how long the effects would last.
nyti.ms
November 25, 2025 at 4:20 AM
Reposted by Jan Berghöfer
Inspired by the world’s largest land animal, researchers have created and tested what they say is the world’s smallest 3D bioprinter

go.nature.com/3JoY43Y
World’s smallest 3D bioprinter could rebuild tissue during surgery
Flexible device inspired by an elephant’s trunk can deliver healing hydrogels.
go.nature.com
November 1, 2025 at 12:12 PM
Reposted by Jan Berghöfer
IMPRS-BAC Open Call: Current IMPRS student Marcel Wittmund talks about what pursuing a PhD means to him and how the IMPRS program supports his doctoral studies at the MPIMG.

Apply by Jan 7th, 2026! www.molgen.mpg.de/IMPRSPhDproj...

#IMPRSBAC @freieuniversitaet.bsky.social @maxplanck.de
October 23, 2025 at 3:00 PM
Reposted by Jan Berghöfer
📢🧬 Next in the speaker line-up for #Embryo2026 is @eileen-furlong.bsky.social from @embl.org who will present her research on

"Genome regulation during embryogenesis: Going loopy about enhancer regulation"

Register until Oct 31! 👇
www.molgen.mpg.de/embryo2026
Supported by the Weizmann Institute
October 24, 2025 at 11:13 AM
Reposted by Jan Berghöfer
What is a promoter? And how does it work?

We very happy to share our latest work trying to understand enhancer-promoter compatibility.
I am very excited about the results of @blanka-majchrzycka.bsky.social, which changed the way I think about promoters

www.biorxiv.org/content/10.1...
Enhancer-promoter compatibility is mediated by the promoter-proximal region
Gene promoters induce transcription in response to distal enhancers. How enhancers specifically activate their target promoter while bypassing other promoters remains unclear. Here, we find that the p...
www.biorxiv.org
October 16, 2025 at 3:06 PM
Reposted by Jan Berghöfer
Out now! 🎉 Check the thread & preprint to see why we think E–P specificity is real in mammals — and, well, a few other interesting things popped up too 👀
Huge thanks to @danielibrahim.bsky.social, @arnaudkr.bsky.social & @stemundi.bsky.social and fantastic people in their labs — what a journey! 🧪🔬
October 17, 2025 at 5:50 AM
Reposted by Jan Berghöfer
In our "Meet the First Author" series, we spoke with Magdalena Schindler and Christian Feregrino about the fascinating world of bats, how teamwork can lead to friendship, and the potential of basic research. Watch the video ⬇️ and read the full interview here: www.molgen.mpg.de/2025-16-10-m...
October 17, 2025 at 1:02 PM
Reposted by Jan Berghöfer
🚨 Preprint 🚨
Ever wondered how cells prepare their genomes to enable new cell-fates? In this team up with the Kind lab, we show that genes are repositioned in the nucleus to get ready for future activation and tissue formation. Read 🧵👇 to find out how and when this happens!

doi.org/10.1101/2025...
Reconfiguration of genome-lamina interactions marks the commissioning of limb cell-fates
Diverse forms of heterochromatin block inappropriate transcription and safeguard differentiation and cell identity. Yet, how and when heterochromatin is reconfigured to facilitate changes in cell-fate...
www.biorxiv.org
May 8, 2025 at 9:43 AM
Reposted by Jan Berghöfer
🚨 Preprint alert 🚨
Excited to share our work on "Ab-trapping," an antibody artifact causing misleading peripheral ("rim") staining in imaging & genomics (IF, CUT&Tag, CUT&RUN). Antibodies fail to penetrate structures, accumulating at the periphery. A 🧵👇
doi.org/10.1101/2025...
Ab-trapping - a peripheral staining artifact in antibody-based microscopy and genomics
Antibodies (Ab) are essential for detecting specific epitopes in microscopy and genomics, but can produce artifacts leading to erroneous interpretations. Here, we characterize a novel artifact, Ab-tra...
doi.org
April 14, 2025 at 8:08 PM
Reposted by Jan Berghöfer
Congratulations to Julian Naderi!
As a 2025 Schmidt Science Fellow, the scientist will study a unique protein from Antarctic fishes that prevents freezing in sub-zero temperatures. 🐟 ❄️
See the news here: www.molgen.mpg.de/4870528/Juli...

schmidtsciences.bsky.social @naderij.bsky.social
April 10, 2025 at 11:05 AM
Reposted by Jan Berghöfer
For #BoysDay #GirlsDay ,a young journalist Bennett Garbe interviews Maryam Ghareghani about her journey into #bioinformatics, her research on #DNA, and her experiences at FU Berlin and the MPIMG. She shares insights into her career and passion for science.
www.molgen.mpg.de/4867821/2025...
April 3, 2025 at 12:49 PM
Reposted by Jan Berghöfer
Quick and dirty hair root sample imaged with the boys @molgen.mpg.de for #BoysDay & #GirlsDay
April 3, 2025 at 6:07 PM
Reposted by Jan Berghöfer
We are looking forward to the IMPRS selection meeting next week! 15 talented candidates from all over the world will be attending.
Missed the chance to apply?
Our next call will open in autumn 2025:
www.molgen.mpg.de/IMPRS/applic...

#IMPRS #gradschool #PhD

Photo: © David Ausserhofer
March 20, 2025 at 10:11 AM
Reposted by Jan Berghöfer
Congratulations to Irene Talon from the Vallier Lab, who has been awarded a Postdoctoral Fellowship by EMBO! In her project Irene will study the principles governing the initiation of human organogenesis using pluripotent stem cells and organoids.
April 16, 2024 at 12:03 PM
Reposted by Jan Berghöfer
I wrote a N&V on the recent studies from the labs of Evgeny Kvon & Eileen Furlong in Nature Genetics, which really thoroughly looked enhancer-promoter interaction data in embryos. Something, that really wasn't available for many loci. Click here: rdcu.be/dCnBw
Enhancer contacts during embryonic development show diverse interaction modes and modest yet significant increases upon gene activation
Nature Genetics - The exact relationship between 3D chromatin interactions and enhancer function is unclear. By probing three-dimensional enhancer interactions in developing embryos, two studies...
rdcu.be
March 26, 2024 at 8:58 AM
Reposted by Jan Berghöfer
New Paper by the Aktas lab in Nature! The team describes a post-transcriptional pathway of transposon regulation that uses the RNA processing machinery to keep transposable elements in check in somatic cells.
Read more: www.molgen.mpg.de/4678674
Original Publication: www.nature.com/articles/s41...
February 14, 2024 at 4:39 PM
Reposted by Jan Berghöfer
Informativer SZ-Artikel über das baldige Überschreiten der 1,5-Grad Erwärmungsgrenze.
„Schon in einer Generation wird dieses Versagen wahrscheinlich als Verbrechen gegen die Menschheit gewertet werden.“
www.sueddeutsche.de/projekte/art...
Wie wichtig sind 1,5 Grad?
Erstmals waren die vergangenen zwölf Monate wärmer als in den globalen Klimaabkommen angestrebt. Kann man das 1,5-Grad-Ziel jetzt vergessen? Antworten auf die wichtigsten Fragen.
www.sueddeutsche.de
February 9, 2024 at 11:15 AM