Heather L Kosakowski
@kosakowski.bsky.social
310 followers 550 following 12 posts
Assistant Professor @ USC
Posts Media Videos Starter Packs
Pinned
kosakowski.bsky.social
My lab at USC is recruiting!
1) research coordinator: perfect for a recent graduate looking for research experience before applying to PhD programs: usccareers.usc.edu REQ20167829
2) PhD students: see FAQs on lab website dornsife.usc.edu/hklab/faq/
kosakowski.bsky.social
My lab at USC is recruiting!
1) research coordinator: perfect for a recent graduate looking for research experience before applying to PhD programs: usccareers.usc.edu REQ20167829
2) PhD students: see FAQs on lab website dornsife.usc.edu/hklab/faq/
Reposted by Heather L Kosakowski
drlarisa.bsky.social
October office hours now posted for 10/10 1-3 pm EDT. Theme=applications (for lab manager jobs, grad school, post-docs, fac jobs, whatever you're applying for) but feel free to bring unrelated questions too! Sign up here: calendly.com/lah2201/open....
#AcademicSky #PhdSky #PsychSciSky
Reposted by Heather L Kosakowski
tristansyates.bsky.social
We were blown away by the public response to our findings that the infant brain can store memories. Many people wrote to share with us their first memories. To help us capture these reports, we created a short, anonymous survey. We hope you might also consider taking it. Please share with others! 🧠🧪
Reposted by Heather L Kosakowski
rebeccasaxe.bsky.social
The question we ask: when do face responses arise in human infant cortex?

Neuroscientists and developmental psychologists (my two disciplines) have different intuitions.
Graphic showing two alternative theories of the sequence and timing of development of cortical face responses: slow and sequential, or early and parallel.
Reposted by Heather L Kosakowski
rebeccasaxe.bsky.social
Very excited to share this new paper, out this week.

An attempt to express an idea I have been working on for more than a decade.

Responses, questions, critiques, suggestions encouraged!
kosakowski.bsky.social
In our recent review, @rebeccasaxe.bsky.social & I bring together fMRI & fNIRS findings from the last decade to argue that babies not only perceive faces but they also attribute meaning to those faces. It’s a short read and we’d love to hear your thoughts. (4/5) doi.org/10.1177/0963...
kosakowski.bsky.social
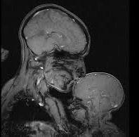
And if you have an extra minute, read the story @rebeccasaxe.bsky.social wrote about making a modern Mother and Child image in an MRI machine. (5/5) www.smithsonianmag.com/science-natu...
MRI image of a parent kissing a baby's forehead.
kosakowski.bsky.social
In our recent review, @rebeccasaxe.bsky.social & I bring together fMRI & fNIRS findings from the last decade to argue that babies not only perceive faces but they also attribute meaning to those faces. It’s a short read and we’d love to hear your thoughts. (4/5) doi.org/10.1177/0963...
kosakowski.bsky.social
Do babies really infer meaning from the people around them? Are their brains able to process more than the onslaught of sights & sounds hitting their sensory organs? These Qs have fascinated philosophers & scientists for millennia. How do babies experience their environments? (3/5)
kosakowski.bsky.social
There many reasons the Madonna and Child image holds diverse audiences captive. It evokes not just the love a parent has a child but also the love a child has for a parent. The art depicts a relationship between 2 people, going beyond merely perceiving a collection of shapes. (2/5)
Painting of a woman and baby looking at each other.
kosakowski.bsky.social
When you see this image, does it make you wonder what that baby is thinking. Do you think the baby is merely perceiving a set of shapes or do you think that the baby is also inferring meaning from the face they are looking at? (1/5)
Video of a baby on its parent's chest looking at the parent's face and smiling.
Reposted by Heather L Kosakowski
thetransmitter.bsky.social
This month’s “Liftoff” features @jocelynbreton.bsky.social discussing the importance of patience when opening a lab. And @vivianpaulun.bsky.social shares how she'll use a traditional German custom in her lab to foster a supportive and uplifting culture.

#neuroskyence

bit.ly/4hFNosx
Liftoff: New lab alerts
Learn about early-career scientists starting their own labs.
www.thetransmitter.org
Reposted by Heather L Kosakowski
neillewisjr.bsky.social
1/8. This week I had a few different conversations with scholars who, in the face of the attacks on science and institutions of learning in the U.S., are wondering what to do. One suggestion I have is: keep doing your work. It matters in and of itself. Why do I say that? A few reasons.
Reposted by Heather L Kosakowski
rodbraga.bsky.social
As if there wasn’t enough to worry about…

It turns out the Salience (SAL) and Parietal Memory Networks (PMN) are the same thing!

😩😩😩

🧵
Reposted by Heather L Kosakowski
sciencenews.bsky.social
In rough periwinkle snails, embryos form and mature inside the brood pouch at different rates. When it’s time to hatch, youngsters may have to crawl out of mom’s body and into the world on their own.
These snails give live birth, and it’s the babies that may do the labor
Protecting eggs in mom’s body may have given rough periwinkle snails an advantage over egg-laying cousins, letting them spread to far more coastline.
bit.ly
Reposted by Heather L Kosakowski
stevenssostre.bsky.social
The official website for the #DSPAN F99/K00 transition award is down, together with the official #NINDSDiversity social media account and webpage.

This is beyond terrifying.

neuroscienceblueprint.nih.gov/archived/tra...
Access Denied

The requested resource requires authentication.
Reposted by Heather L Kosakowski
kosakowski.bsky.social
CONGRATULATIONS!!! 🎉🎉🎉
Reposted by Heather L Kosakowski
evfedorenko.bsky.social
So excited to receive the Troland Award!! Huge congrats to the other winner—Nick Turk-Browne! And TY, as always, to my mentors&nominators, to my amazing labbies past&present, and to all the wonderful and supportive colleagues in our broader scientific community. <3 www.nasonline.org/award/trolan...
Troland Research Award – NAS
Two Troland Research Awards of $75,000 are given annually to recognize unusual achievement by early-career researchers (preferably 45 years of age or younger) and to further empirical research within ...
www.nasonline.org
Reposted by Heather L Kosakowski
ohbmenvironment.bsky.social
✨ Do you know anyone who is making a real impact in area of increasing environmental sustainability in neuroimaging research? 🌎 🍃

🏆 Nominate them for an OHBM Sustainability Award today!

The recipient will receive $2500 USD! See below for award terms 👇

www.humanbrainmapping.org/i4a/pages/in...
kosakowski.bsky.social
Ah! I’ve been trying to do that, it seems more reasonable (compared to being an expert in their work) and actually a lot of fun. It’s really exciting to have a science convo when I feel like I can trust someone else’s expertise and, in turn, feel like they trust mine. Thanks!
kosakowski.bsky.social
Is there really an expectation during TT interviews that you know/understand the research of everyone you meet with? I thought just a general awareness, especially for people that don’t have overlapping research interests, would be sufficient….
Reposted by Heather L Kosakowski
socphilneuro.bsky.social
😎 SPAN2025 Keynotes, invited symposia speakers, and sponsored symposia just dropped! Take a look at who will be at SPAN2025 and then submit your abstract so you can be there too!

More invited speakers will be announced soon. Visit our website for all the details: philandneuro.com