Stam Sotiropoulos
@mristam.bsky.social
400 followers 200 following 1 posts
Neuroimager @SPMIC-UoN.bsky.social Professor @uniofnottingham.bsky.social Brain MRI methods developer. Father of two. https://conilab.nottingham.ac.uk
Posts Media Videos Starter Packs
Reposted by Stam Sotiropoulos
natureportfolio.nature.com
Rates of brain ageing accelerated during the COVID-19 pandemic, even among those who did not get infected with SARS-CoV-2, suggests a study of nearly 1,000 UK adults published in Nature Communications. go.nature.com/4lZA5Xf #medsky 🧪
This is figure 2, which shows the effect of COVID-19 and the pandemic on brain ageing.
Reposted by Stam Sotiropoulos
neuroecologylab.bsky.social
Translating brain anatomy and neurodegenerative disease from mouse to human through latent gene expression space
The mouse model is by far the most widely used animal model in preclinical neuroscience, but translating findings to humans suffers from the lack of a formal framework establishing the correspondence between the mouse and the human brain. In this study, we build on the concept of common brain space, and on previous work embedding gene expression profiles, to bring the two species into alignment for comparative analysis. Using a variational autoencoder (VAE) combined with a latent classifier, we create a latent space that strikes a balance between abstract features related to reconstruction and features pertaining to regional segregation. This approach demonstrates improved cross-species homology and within-species locality compared to existing comparative models. In addition, we show that brain alterations in mouse disease models can be translated to humans, predicting patterns of brain changes in Alzheimer's and Parkinson's diseases. The flexibility and scalability of this approach offer a promising framework to bridge between more animal models, comparing quantitative imaging modalities, and disease phenotypes. This in turn will help advance our understanding of species similarities and differences, enhancing both fundamental translational neuroscience and disease modelling. ### Competing Interest Statement The authors have declared no competing interest.
www.biorxiv.org
Reposted by Stam Sotiropoulos
fmrib-steve.bsky.social
Imaging Neuroscience new-paper posts from 2023. At the end of December we'll post the much bigger 2024 montage (even Rocky had a montage).
Reposted by Stam Sotiropoulos
imagingneurosci.bsky.social
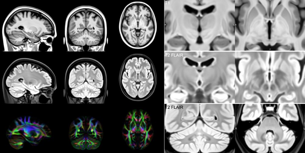
New paper in Imaging Neuroscience by Christoph Arthofer, Frederik J. Lange, et al:

Internally consistent and fully unbiased multimodal MRI brain template construction from UK Biobank: Oxford-MM

doi.org/10.1162/imag...
mristam.bsky.social
First post!
New preprint led by @josepemanzano.bsky.social on amortised simulation-based inference #SBI to map orientation #uncertainty and perform brain #tractography. Great collaboration with @jakhmack.bsky.social, @ppjgoncalves.bsky.social, @deismic.bsky.social.